Cases

Another 6-Month Follow-up

By Dale Jung / August 6, 2018

From last week. 59yof. SIP. Hyperemic. 6 canals. 2 visits. Asymptomatic at the second visit. […]

Just a 6-Month Follow-up

By Dale Jung / August 2, 2018

50 yof Necrotic Pulp. Symptomatic AP. 3 visits due to persistent drainage from the DL […]

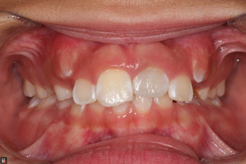
9yo girl, #9 ankylosis and discoloration

By Brandon Seto / August 2, 2018

Dear colleagues, I posted this to the AAE forum, and I’m hoping for input from […]

9yo girl, ankylosis and discoloration #9

By Brandon Seto / August 2, 2018

Dear colleagues, I just posted this to the AAE forum, and I’m hoping TDO’ers could […]

Minimally Invasive

By Dr. Angela Noguera / August 1, 2018

Pt developed acute pulpitis 1 months after the new crown was cemented. He arrived with  […]

Cracked lower second molar

By Viraj Vora / August 1, 2018

Yesterdays complete. Findings were a DMR crack with no associated isolated probings and recurrent caries […]

Leveraged access

By Dale Jung / July 31, 2018

  47 yof. Symptomatic partially necrotic pulp. First visit instrumented with #15K to length. Second […]

How to avoid fractured roots

By JK / July 31, 2018

In today post recent symptoms on this tooth I retreated in 2010. Short-term followups from […]

Roger Lewis as a test

By Gary Carr / July 27, 2018

This is  a test. To see if sarcastic works. And the Google Link works.  Roger Lewis […]

Pt presented with persistent sinus tract on B

By Dr. Angela Noguera / July 27, 2018

Pt presented with persistent sinus tract on B. RCT’s done by another endodontist in town. […]

@

Not recently active