• Home
  • Courses
  • FAQ
    • Getting Started with TDO University
Register Login

Online Endodontic Education

TDO University
Register Login

Author Archives: Dale Jung

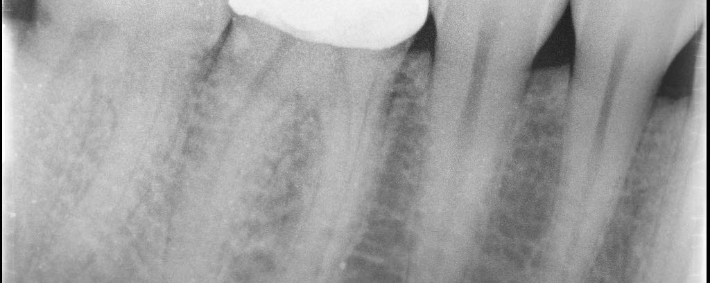
6-Month Follow-up Partially Vital Pulp

6-Month Follow-up Partially Vital Pulp

September 13, 2018 2 comments

42 yom. Symptomatic Partially Vital Pulp. No response to cold. Upon access, I observed hyperemic tissue in MB1 and partially vital tissue in the rest of the canals. 2-1-2 MB root system. 1 visit. Asymptomatic and functional at the follow-up visit.

Dale JungSeptember 13, 2018 2 comments
Dale Jung
ER Patient

ER Patient

August 27, 2018 1 comment

66 yof ER patient. Left drainage hole and medicated/closed 3 days later. Asymptomatic at the complete appt 20 days later.

Dale JungAugust 27, 2018 1 comment
Dale Jung

ER Patient

August 27, 2018 5 comments

66 yof ER patient. Left drainage hole and medicated/closed 3 days later. Asymptomatic at the complete appt 20 days later.

Dale JungAugust 27, 2018 5 comments
Dale Jung
Another 6-Month Follow-up

Another 6-Month Follow-up

August 6, 2018 0 comments

From last week. 59yof. SIP. Hyperemic. 6 canals. 2 visits. Asymptomatic at the second visit. Asymptomatic and functional at the follow-up appointment.  

Dale JungAugust 6, 2018 0 comments
Dale Jung
Just a 6-Month Follow-up

Just a 6-Month Follow-up

August 2, 2018 0 comments

50 yof Necrotic Pulp. Symptomatic AP. 3 visits due to persistent drainage from the DL at the second visit two weeks later. Let the tooth sit in calcium hydroxide over one month before completing. Tooth was asymptomatic and dry canals at the third visit. Asymptomatic and functional at F/U.  

Dale JungAugust 2, 2018 0 comments
Dale Jung
Leveraged access

Leveraged access

July 31, 2018 3 comments

  47 yof. Symptomatic partially necrotic pulp. First visit instrumented with #15K to length. Second visit apically gauged to a size 40.

Dale JungJuly 31, 2018 3 comments
Dale Jung
Class II Restorations: Tackling the Challenging Cases

Class II Restorations: Tackling the Challenging Cases

July 14, 2018 2 comments

Restoring with Amalgam. 72yom. The patient had avoided the dentist due to dental anxiety. Tooth #3(16) SIP and #2(17) responded normally to all clinical tests. I recommended attempting to save both molars but he hesitantly agreed to start with tooth #3. Image Guided Treatment using CBCT aided in confirming the presence and location of MB2. […]

Dale JungJuly 14, 2018 2 comments
Dale Jung
1-Year Follow-up Conservative Access.

1-Year Follow-up Conservative Access.

July 4, 2018 3 comments

In the hierarchy of dentin conservation the existing restorative has the lowest priority and it quite frankly gets in the way of our access to the root canal system. But, after practicing directed dentin conservation for a while, you sometimes get lucky. The patient is 40yo. She was symptomatic at the time of treatment and […]

Dale JungJuly 4, 2018 3 comments
Dale Jung

Dual Entry Access

June 25, 2018 4 comments

66 yof. SIP following crown preparation and removal of caries. The permanent crown is ready to be cemented. I punched an access to the MB1 and treated the MB2, DB and P through the distal. Heat-treated files with a limited maximum flute diameter and narrow shaft make this predictable.  

Dale JungJune 25, 2018 4 comments
Dale Jung
Selective Caries Removal

Selective Caries Removal

June 25, 2018 13 comments

Selective Caries Removal (SCR) is a paradigm shift from traditional views on the treatment of caries (i.e. all caries needs to be removed). In most situations I subscribe to the traditional view but there are situations where removing all the caries will necessitate complete RCT which may not be feasible (e.g. the very young and […]

Dale JungJune 25, 2018 13 comments
Dale Jung

Categories

© 2018 - TDO University
  • Home
  • All Courses
  • Privacy Policy

@

Not recently active