Cases

Amalgam restorations

By Viraj Vora / July 27, 2018

Recent completes: Case 1: Previously initiated, the RD could not locate negotiate/locate the canals. I […]

“Take ’em out”

By Kirk Huffaker / July 27, 2018

This 35 year-old male presented as an emergency with acute pain in the lower left […]

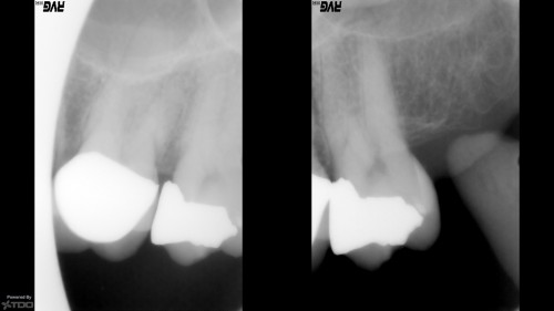
#13 – Caries Driven Access

By Reuben Joseph / July 24, 2018

– Sub-gingival caries distal to an isolated #13 – Gingivectomy and isolation done – Caries […]

Core Only

By Kirk Huffaker / July 24, 2018

65 year-old female in good health.  Root canal treatment was completed by my predecessor 15 […]

For those who think an EPT helps

By JK / July 23, 2018

So EPT mavens, what other tests do you run to help with the decision-making? Notes: […]

#14 RCT

By Reuben Joseph / July 23, 2018

#14 RCT Pre-op: Deep sub-gingival distal margin. Gingivectomy followed by margin elevation and isolation. The […]

Nice Restorative Pin-Treatment of Max 2nd Molar

By Nishan Odabashian / July 23, 2018

This is the tooth of a 74 active female. Came in with pain to percussion […]

Still learning

By Bobby Nadeau / July 23, 2018

#2.6 NP/SAP, 2 visits, asymptomatic at 2nd visit, System B gingivectomy. Tried to apply best […]

20 yr recall today

By Robert Grover / July 20, 2018

The Trifecta. Disease oriented, process centered, and patient relevant!!!! You get a gold star. Bob […]

3.5 Year Recall on C-shaped Man. 2nd Molar

By Nishan Odabashian / July 19, 2018

Abscessed pulp on entry. Crown cemented within 6 months of visit to our office. 17/.04 […]

@

Not recently active