Cases

Perforation management

By Revathi Miglani / August 27, 2018

Pt 50 YOF presented with dislodged crown and severe pain in the recently RCT done […]

Routine RCT

By Revathi Miglani / August 27, 2018

 

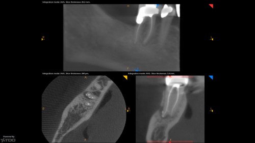
#29 with a deep split in the middle 3rd

By Reuben Joseph / August 27, 2018

Somehow i find these premolars canals that splits in the middle 3rd harder to locate […]

46 pulpitis with a deep distal margin

By Reuben Joseph / August 24, 2018

– In this case i opted for an access to the centre (place where the […]

Selective Re-treat of Missed MB2

By Siju Jacob / August 20, 2018

 

Selective Re-treatment of Distal Root

By Siju Jacob / August 20, 2018

Patient came in with a sinus tract and lesion in the distal root. I Re-treated […]

Resolved.

By michael trudeau / August 16, 2018

  http://theendofix.com/category/dailyfix/ Cheers, Mike

Pac Mac help? Trudeau? Anyone?

By JK / August 14, 2018

Hi Steve, Here are a couple of single-cone BC sealer cases from today, and last […]

3 yr follow-up of a maxillary 1st molar with an interesting anatomy

By Reuben Joseph / August 13, 2018

– Pt age 13yrs old then – IOPA revealed a taurodontic anatomy and a PA […]

MIE Healing

By Charles / August 7, 2018

This was a finish from last week.  The largest file used was a 20.  The […]

@

Not recently active