Dear colleagues, I just posted this to the AAE forum, and I’m hoping TDO’ers could lend an opinion as well.
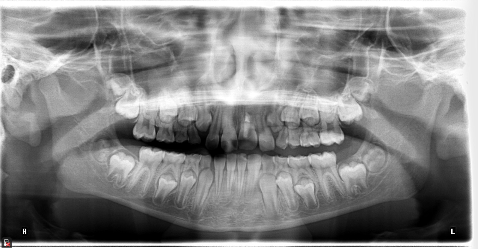
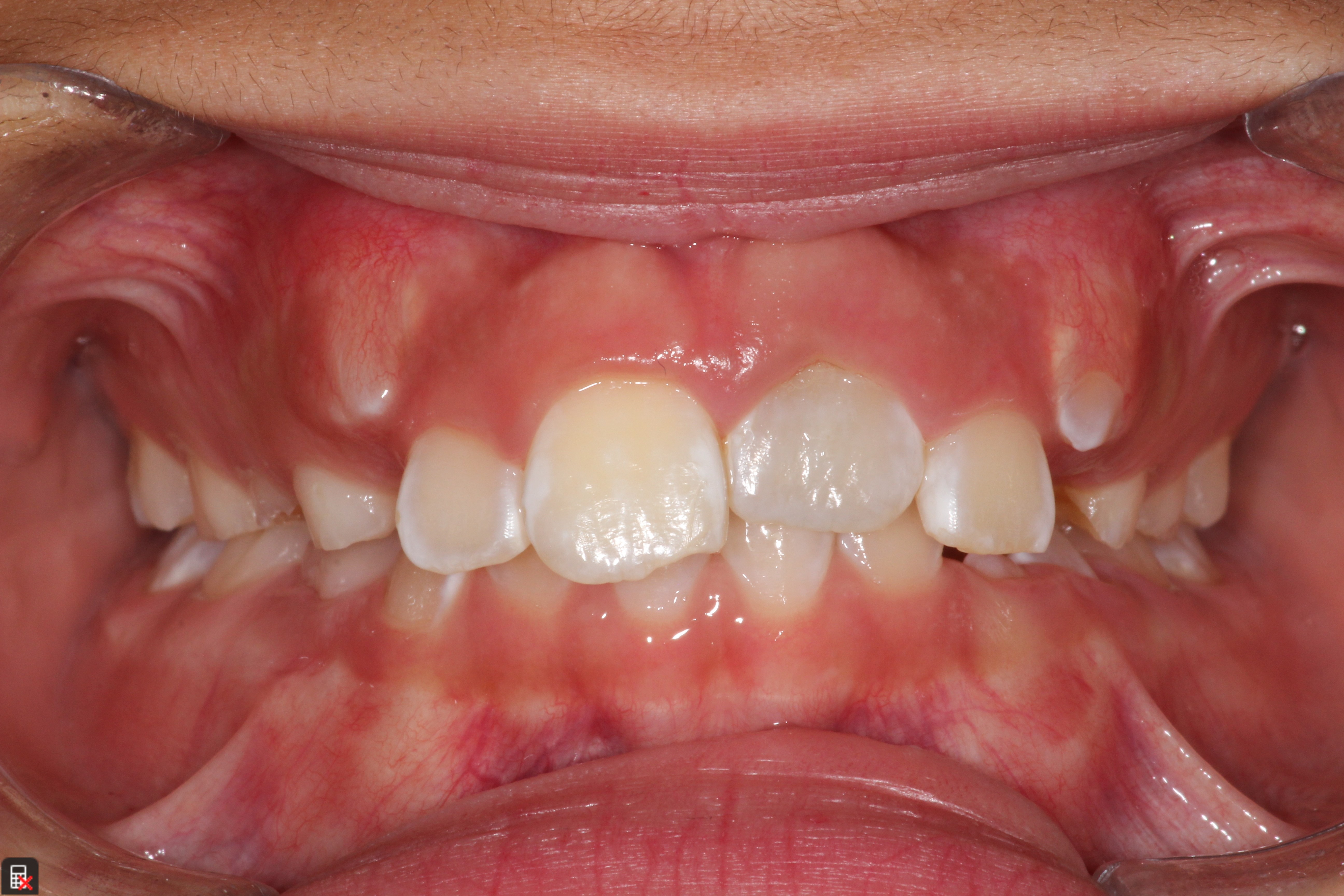
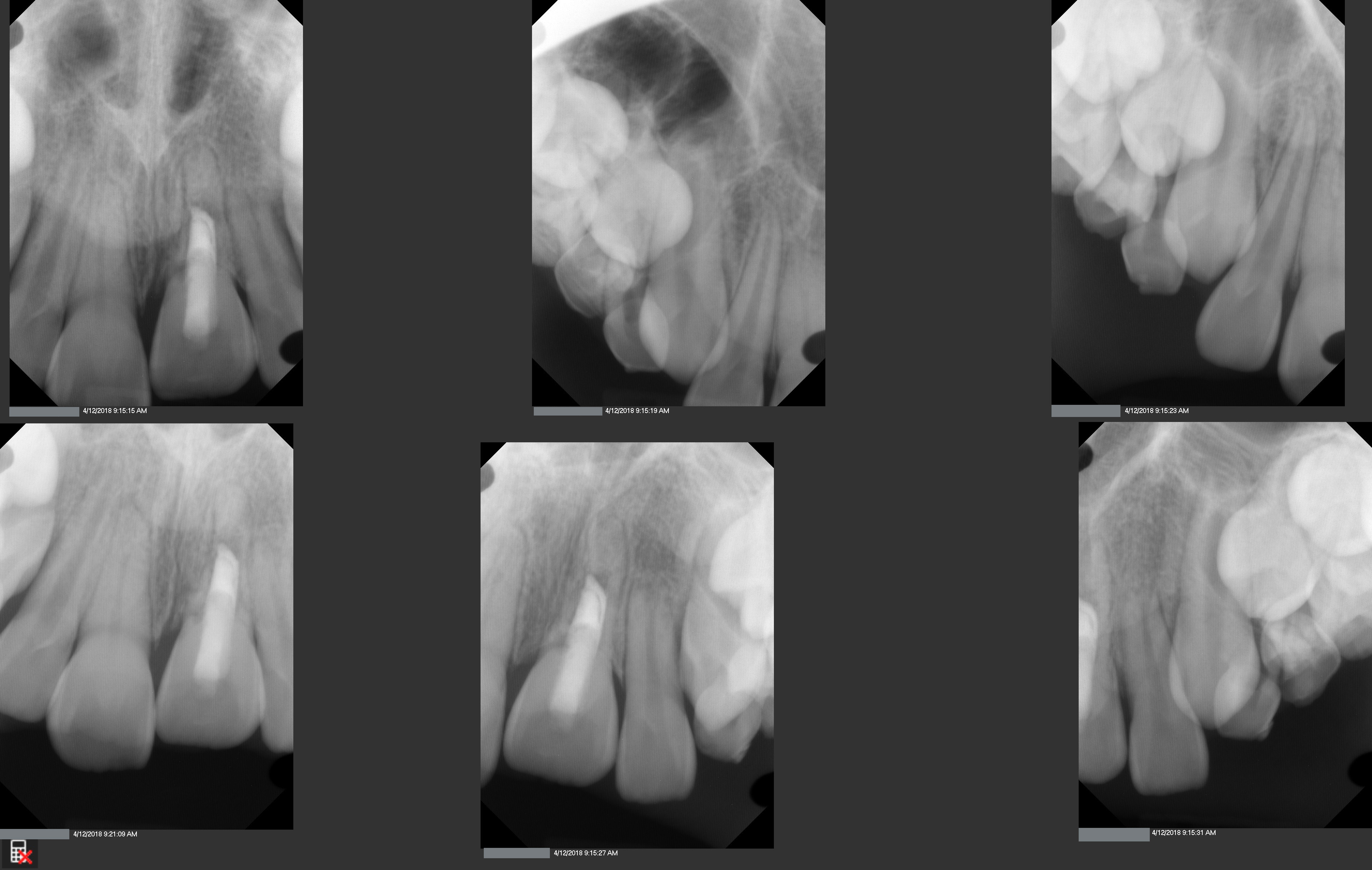
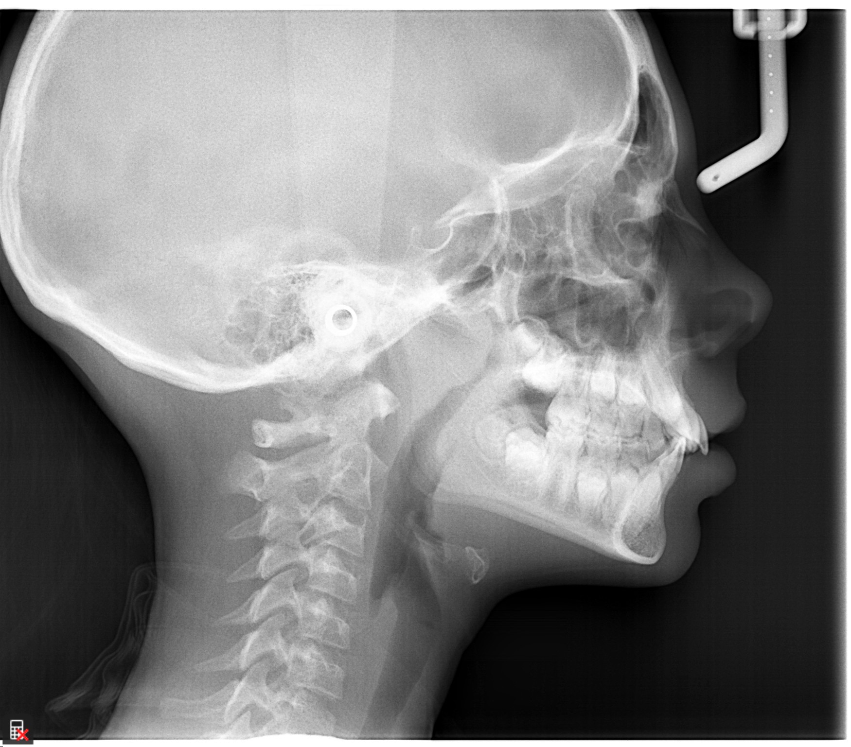
This is a 9yo girl with a high esthetic desire (wants to be a model/actor). She avulsed tooth #9 about 3 years ago, and she has been under treatment with other endodontists. I guess they attempted revascularization with MTA about year ago. #9 is ankylotic with a few mm’s infraposition. It is gray due to the MTA. #8 is slightly yellow/white due to calcification/obliteration but she says she feels cold testing and it is otherwise asymptomatic.
I spoke to her about the following options for #9:
1) Decoronation and a fake tooth for her teenage years
2) No treatment, except internal bleach then bonding/veneer.
3) Autotransplantation of a mandibular premolar
4) Segmental osteotomy/corticotomy later
Are they any other options available? How would you approach this case? Thanks in advance!







Experience leading nephrology care at Shalamar Hospital. Our dedicated team of specialists offers comprehensive treatment for kidney diseases. With advanced technology and personalized care, trust us for optimal kidney health and well-being.
Play Drift Boss Unblocked is an addictive car drifting game where players test their timing and control skills on narrow platforms. You can play Drift Boss unblocked anytime, anywhere without restrictions, making it perfect for school or work breaks. The unblocked Drift Boss version runs smoothly on all browsers, offering endless drifting fun. Visit driftboss.ws to enjoy seamless gameplay and compete for the highest score in this exciting drifting challenge!
Play Drive Mad Unblocked for thrilling car stunt action and crazy obstacle challenges. The unblocked Drive Mad version lets you enjoy the game freely without limits. MadDrive brings exciting levels that test your balance and timing skills in unique ways.
The Age Calculator online is a handy web tool that quickly determines your exact age in years, months, and days. Just enter your birth date, and it instantly shows how old you are today — perfect for quick checks or official forms.