• Home
  • Courses
  • FAQ
    • Getting Started with TDO University
Register Login

Online Endodontic Education

TDO University
Register Login

Author Archives: Viraj Vora

Pulp stones

Pulp stones

September 5, 2018 5 comments

Necrotic/SAP. Pulp stone sectioning and removal using US, interim CaOH till resolution of symptoms. 4 canals and resin core, tried Bioclear matrices. Crack noted on the mesial aspect, no significant probing.  Advised a crown.

Viraj VoraSeptember 5, 2018 5 comments
Viraj Vora
Cracked lower second molar

Cracked lower second molar

August 1, 2018 12 comments

Yesterdays complete. Findings were a DMR crack with no associated isolated probings and recurrent caries under the old M resin. Stone removal. 3 mesial canals and resin core. Advised a crown.

Viraj VoraAugust 1, 2018 12 comments
Viraj Vora
Amalgam restorations

Amalgam restorations

July 27, 2018 3 comments

Recent completes: Case 1: Previously initiated, the RD could not locate negotiate/locate the canals. I had to do an enameloplasty on the adjacent molar, mainly to finish the distal aspect of the alloy. 2 step with amalgam core. Case 2: Recent symptoms, 2 step with amalgam. Root/ furcal prep. Advised a DME with a distal […]

Viraj VoraJuly 27, 2018 3 comments
Viraj Vora
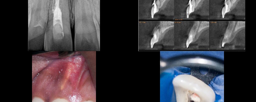
Perforation management

Perforation management

July 6, 2018 10 comments

23 YF presented with pain and clinical signs of GP inside the buccal aspect of the gingiva around tooth #11 (FDI). The scan shows the buccal perforation with two GP points and an apical finding. Initially we removed all GP fragments internally and repaired the internal aspect of the perforation with SDR and interim CaOH […]

Viraj VoraJuly 6, 2018 10 comments
Viraj Vora

Categories

© 2018 - TDO University
  • Home
  • All Courses
  • Privacy Policy

@

Not recently active