• Home
  • Courses
  • FAQ
    • Getting Started with TDO University
Register Login

Online Endodontic Education

TDO University
Register Login

Author Archives: Brandon Seto

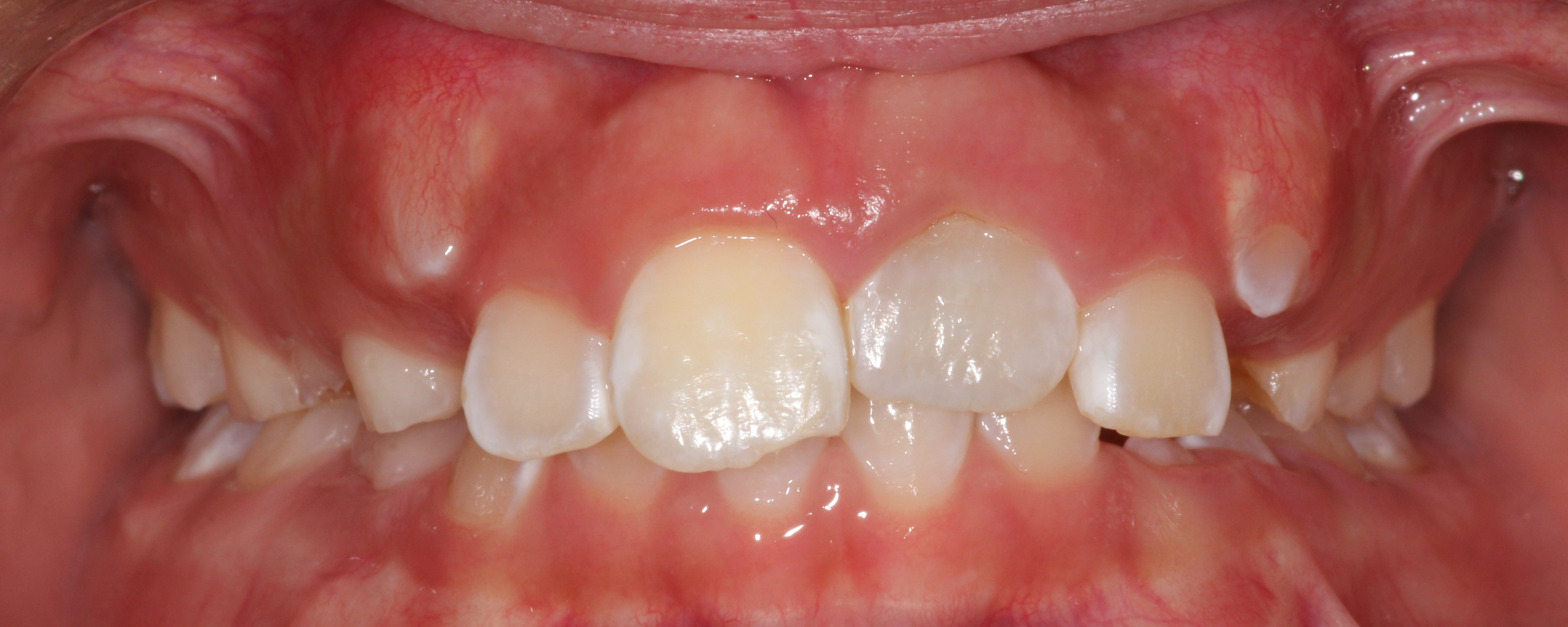
9yo girl, #9 ankylosis and discoloration

9yo girl, #9 ankylosis and discoloration

August 2, 2018 7 comments

Dear colleagues, I posted this to the AAE forum, and I’m hoping for input from TDO’ers as well. This is a 9yo girl with a high esthetic desire (wants to be a model/actor).  She avulsed tooth #9 about 3 years ago, and she has been under treatment with other endodontists.  I guess they attempted revascularization […]

Brandon SetoAugust 2, 2018 7 comments
Brandon Seto
9yo girl, ankylosis and discoloration #9

9yo girl, ankylosis and discoloration #9

August 2, 2018 4 comments

Dear colleagues, I just posted this to the AAE forum, and I’m hoping TDO’ers could lend an opinion as well. This is a 9yo girl with a high esthetic desire (wants to be a model/actor).  She avulsed tooth #9 about 3 years ago, and she has been under treatment with other endodontists.  I guess they […]

Brandon SetoAugust 2, 2018 4 comments
Brandon Seto

Categories

© 2018 - TDO University
  • Home
  • All Courses
  • Privacy Policy

@

Not recently active