Cases

BBB (Baffled Beyond Belief)

By JK / September 20, 2018

Hi Dale, On Thu, Sep 20, 2018 at 2:43 PM Dale Jung <dalejungendo@gmail.com> wrote: 🤦🏻‍♂️ […]

Crown fracture with intrusive luxation.

By Revathi Miglani / September 18, 2018

Pt 47 yoM reported after 10 days of trauma to his front teeth.  Clinical examination […]

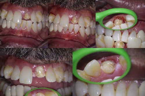
Crown fracture extending sub-gingival

By Revathi Miglani / September 18, 2018

Pt 55 yoM presented with fracture of #9.  History of trauma 2 wks back and […]

Trauma and Regenerative Endodontics

By Rajiv Patel / September 17, 2018

We can only control our processes and not our outcome.The uncertainty associated with this modality […]

6-Month Follow-up Partially Vital Pulp

By Dale Jung / September 13, 2018

42 yom. Symptomatic Partially Vital Pulp. No response to cold. Upon access, I observed hyperemic […]

Upcoming decoronation

By JK / September 10, 2018

I agree Rick. Someone posted a case on the AAE Connection and Gary asked Sir […]

External Cervical Resorption

By Carlos Aznar Portoles / September 7, 2018

 

#18 RCT

By Reuben Joseph / September 5, 2018

#18 RCT With this kind of gingiva sinking the whole tooth an indirect post-endo would […]

Lid O’er Trash Can – 2 year CBCT recall

By Rajiv Patel / September 4, 2018

Patient presented with a sinus tract -buccal of tooth # 8 History of initial root […]

Dens Invaginatus and Regenerative Endodontics on a 7 year old

By Rajiv Patel / August 27, 2018

@

Not recently active