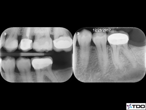
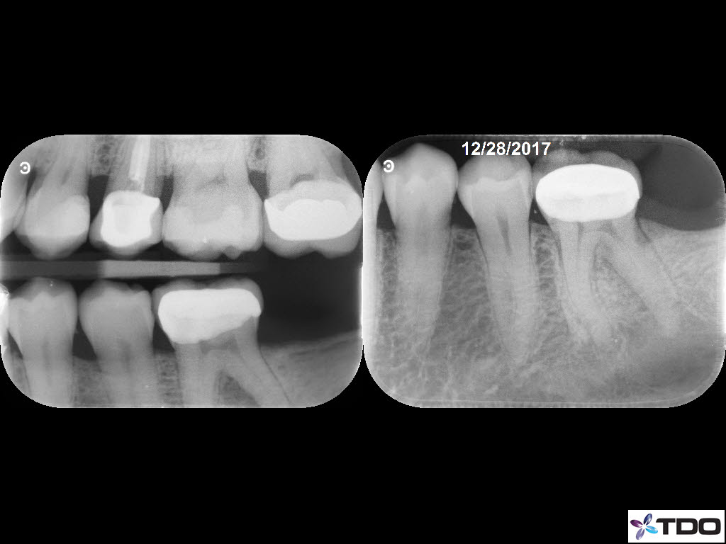
50 yof
Necrotic Pulp. Symptomatic AP. 3 visits due to persistent drainage from the DL at the second visit two weeks later. Let the tooth sit in calcium hydroxide over one month before completing. Tooth was asymptomatic and dry canals at the third visit.
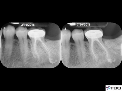
Asymptomatic and functional at F/U.
