Another 6-Month Follow-up

[post-views]
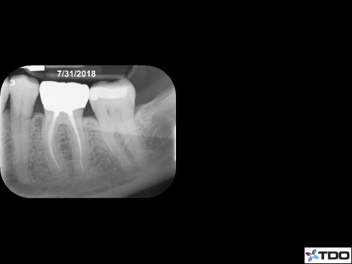
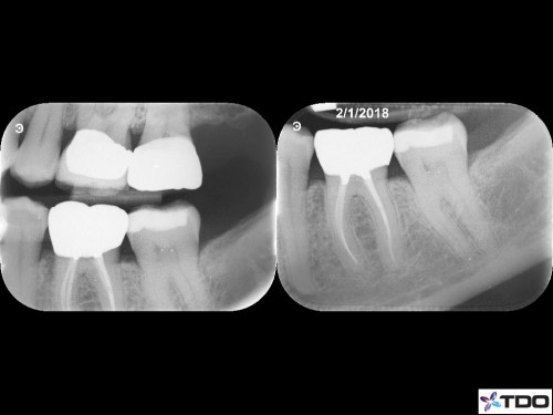
6 canals Hyperemic 6mo FU 1

From last week. 59yof. SIP. Hyperemic. 6 canals. 2 visits. Asymptomatic at the second visit. Asymptomatic and functional at the follow-up appointment.

 

Dale Jung

0 0 vote
Article Rating
Subscribe
Notify of
0 Comments
Inline Feedbacks
View all comments

@

Not recently active