Leveraged access

[post-views]
Page9

 

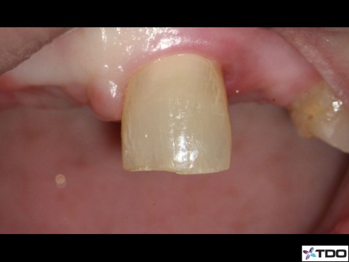
47 yof. Symptomatic partially necrotic pulp. First visit instrumented with #15K to length. Second visit apically gauged to a size 40.

Dale Jung

0 0 vote
Article Rating
Subscribe
Notify of
3 Comments
Oldest
Newest Most Voted
Inline Feedbacks
View all comments
7 years ago

Incredible worksmanship. Well done, Dale

7 years ago

TDO’ers rock!

@

Not recently active