Dear colleagues, I posted this to the AAE forum, and I’m hoping for input from TDO’ers as well.
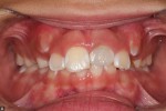
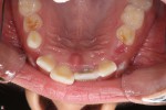
This is a 9yo girl with a high esthetic desire (wants to be a model/actor). She avulsed tooth #9 about 3 years ago, and she has been under treatment with other endodontists. I guess they attempted revascularization with MTA about year ago. #9 is ankylotic with a few mm’s infraposition. It is gray due to the MTA. #8 is slightly yellow/white due to calcification/obliteration but she says she feels cold testing and it is otherwise asymptomatic.
I spoke to her about the following options for #9:
1) Decoronation and a fake tooth for her teenage years
2) No treatment, except internal bleach then bonding/veneer.
3) Autotransplantation of a mandibular premolar
4) Segmental osteotomy/corticotomy later
Are they any other options available? How would you approach this case? Thanks in advance!







Before I comment, what was the advice on The Connection?
Rick Schwartz responded recommending decoronation asap. No other responses yet.
Brandon: I sent this to Sir Winston and this was his reply:
Winston Chee via perfendo.org
12:35 PM (11 minutes ago)
to Gary
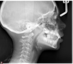
Gary for this patient a periodical film would help – the issue is NOT endo but the defect caused by eruption of the adjacent teeth – the PA film shows there is a vertical defect now that can be managed. The best thing would be to make sure there is a seal in the canal, then bleach the coronal part of the restoration, after which an additive type restoration to build out the rest of the clinical crown for esthetics – lithium disilicate would be my first choice of material to use.
Then someone has to watch for her growth spurt – and as soon as it happens the tooth has to be removed – this will reduce the defect that will become much more on the growth of the maxilla – there is also some discussion about whether the ankylosed tooth will affect maxillary growth – this is much like placing an implant too early but worse. Orthodontic care for this potential movie star should also be delayed because any treatment now would have to be worked around this tooth and any eruptive force would created a vertical periodontal defect that might jeopardize the adjacent teeth.
Once the tooth is out ortho can commence
More likely than not a bone graft would have to be managed and a good periodontist and prosthodontist team should collaborate
my 2 cents
Dr. Winston Chee
Ralph & Jean Bleak Professor of Restorative Dentistry
Director, Advanced Education in Prosthodontics
Director, Implant Dentistry
Thank you, Dr Carr. Please pass on my appreciation!
Uniswift.ae, your top multi-sports store, offers premium gear for the judo game. Our high-quality judo equipment ensures durability and comfort, enhancing both training and competition experiences. Trust Uniswift.ae to provide the best products for your judo practice and elevate your performance.
Uniswift Introduce to joy soccer games for kids, the ultimate multi-sports store. From beginner-friendly soccer balls to kid-sized gear, we offer everything to make their playtime memorable. Let Uniswift be their gateway to fun and fitness on the field!
Shalamar Hospital’s plastic surgery center is dedicated to enhancing your appearance, combining expertise with a caring approach in a modern medical environment.