Posts

Non-vital fractured #9 with PAP

By Revathi Miglani / July 7, 2018

Pt 17yrs male presented with pain and discoloration of #9. After the Access prep,cleaning and […]

Routine RCT

By Revathi Miglani / July 7, 2018

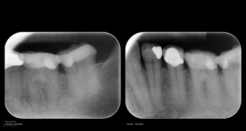
Perforation management

By Viraj Vora / July 6, 2018

23 YF presented with pain and clinical signs of GP inside the buccal aspect of […]

#7 referred with a separated file/internal resorption/calcification/apical split

By Reuben Joseph / July 6, 2018

#7 referred with a separated file/internal resorption/calcification/apical split > History of trauma and a I/O […]

Disappointing recall

By Gary Carr / July 5, 2018

Busy recalling cases from the 10-15 yr time frame. Had I just done 5 yr […]

1-Year Follow-up Conservative Access.

By Dale Jung / July 4, 2018

In the hierarchy of dentin conservation the existing restorative has the lowest priority and it […]

Regenerative Endodontics – 8 year recall

By Rajiv Patel / July 3, 2018

Patient was 11 at time of treatment, 19 now!!  Case of Dens Evaginatus – swelling and […]

Online Reviews in an endo practice

By Dr. Angela Noguera / July 3, 2018

Over the last 5 years, I have been working very hard on my online presence […]

Fractured Bicuspid/MIE

By Dr. Angela Noguera / July 3, 2018

I wanted to post this interesting case. She is the sister of an endodontist colleague( […]

MIE: Untreated pal canal

By Dr. Angela Noguera / July 3, 2018

White , 70 yo, male presented completely asymptomatic but with a buccal ST.  Tooth had […]

@

Not recently active