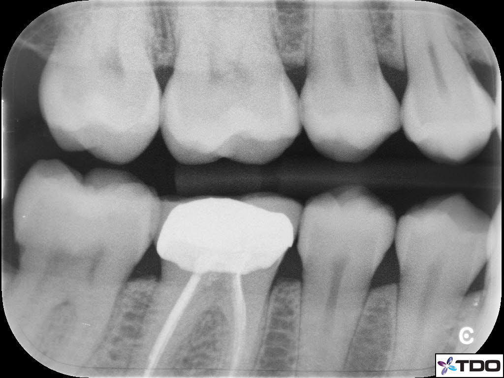
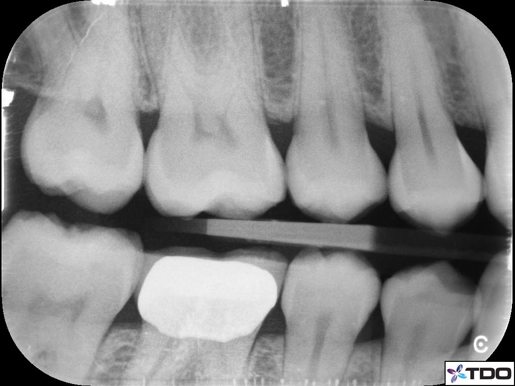
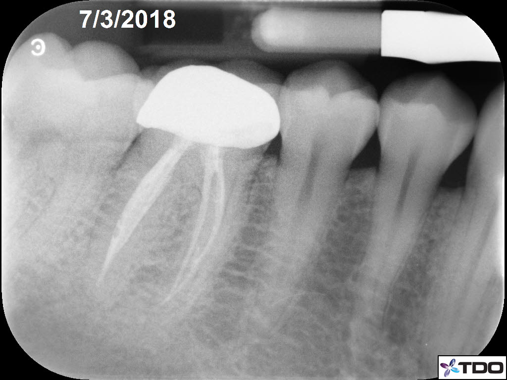
In the hierarchy of dentin conservation the existing restorative has the lowest priority and it quite frankly gets in the way of our access to the root canal system. But, after practicing directed dentin conservation for a while, you sometimes get lucky. The patient is 40yo. She was symptomatic at the time of treatment and interestingly the mesiobuccal canal was partially vital while the mesiolingual, distobuccal and distolingual canals were partially necrotic. She was asymptomatic at the completion visit as well as at the follow-up appointments.
Hi Gergely. The crown was less than two weeks old when the patient was first seen in my office. The previous crown was 15 yrs old and was seldom sensitive; the RD replaced the crown due to an “open margin.” Heat/cold sensitivity ensued after the crown prep. Four days after the permanent crown was cemented the patient woke up with severe throbbing pain and the temp sensitivity became worse. When she presented to my office she reported severe biting tenderness and tender submandibular lymph nodes.
Great insight into the challenges of dentin conservation Dale. The case illustrates the unpredictability of canal vitality and the need for a strategic approach. The 1 year follow up success adds another layer to the discussion. Professional General Contractors in Laval Quebec CA
Great case Dale. When was the crown luted?
Hi Gergely. The crown was less than two weeks old when the patient was first seen in my office. The previous crown was 15 yrs old and was seldom sensitive; the RD replaced the crown due to an “open margin.” Heat/cold sensitivity ensued after the crown prep. Four days after the permanent crown was cemented the patient woke up with severe throbbing pain and the temp sensitivity became worse. When she presented to my office she reported severe biting tenderness and tender submandibular lymph nodes.
Great insight into the challenges of dentin conservation Dale. The case illustrates the unpredictability of canal vitality and the need for a strategic approach. The 1 year follow up success adds another layer to the discussion.
Professional General Contractors in Laval Quebec CA