Posts

Conservative access

By Mark Dreyer / June 26, 2018

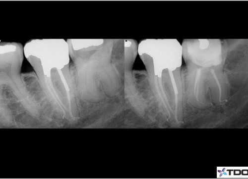
Heat treated files allow for conservative access in an area where a larger access would […]

X-Nav

By Gary Carr / June 25, 2018

When I first saw Sir Charles’s cases, I thought I would use X-nav a little […]

X-Nav

By Gary Carr / June 25, 2018

When I first saw Sir Charles’s cases, I thought I would use X-nav a little […]

Dual Entry Access

By Dale Jung / June 25, 2018

66 yof. SIP following crown preparation and removal of caries. The permanent crown is ready […]

Periapical Actinomycosis

By James Y. S. Ho, DMD / June 25, 2018

Sorry to repost this, but I didn’t like the first version’s resolution. After tweaking things […]

Selective Caries Removal

By Dale Jung / June 25, 2018

Selective Caries Removal (SCR) is a paradigm shift from traditional views on the treatment of […]

Third molar

By Mark Dreyer / June 23, 2018

Treatment of complex third molar.  Second molar treated a few years prior.

Perforation Management

By Venkat Canakapalli / June 23, 2018

The initial endodontic treatment was done a few years back and the conventional radiograph suggests […]

Caries driven access

By Bill Seddon / June 23, 2018

Test to upload image from computer.  

X-Nav today

By Gary Carr / June 21, 2018

Because this was a Zirconia crown, my approach was to make a “staging platform” where […]

@

Not recently active