Disappointing recall

[post-views]
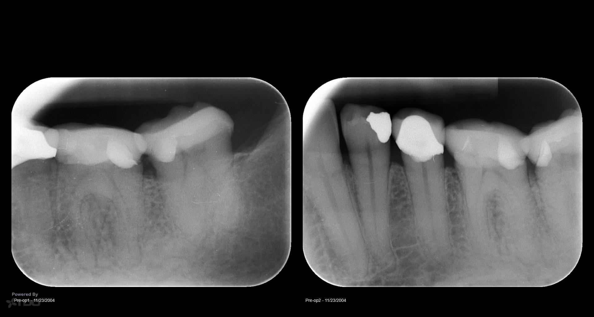
Collage-2140634598-Page00

Busy recalling cases from the 10-15 yr time frame. Had I just done 5 yr recall, I’d never know …. gbc




Gary Carr

0 0 vote
Article Rating
Subscribe
Notify of
0 Comments
Inline Feedbacks
View all comments

@

Not recently active