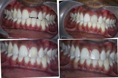
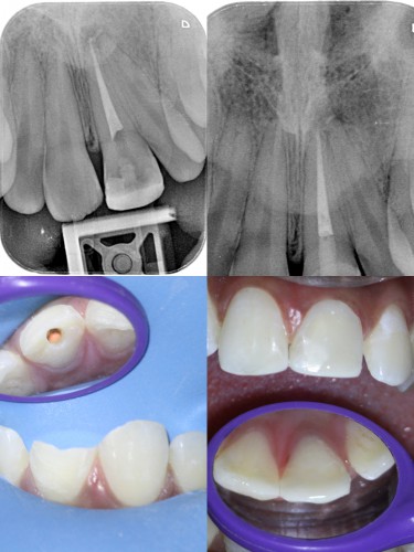
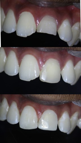
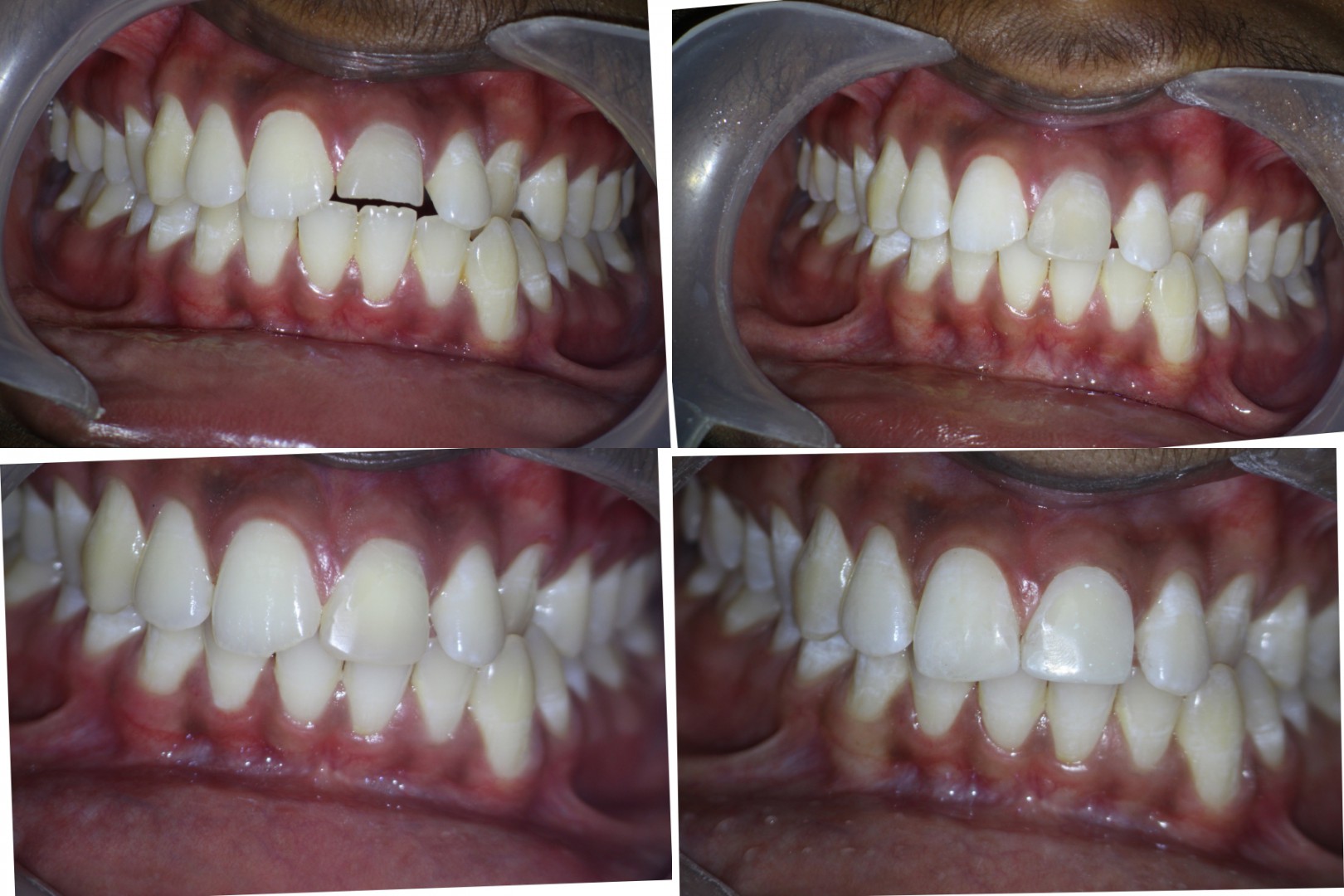
Pt 17yrs male presented with pain and discoloration of #9. After the Access prep,cleaning and shaping , temporary composite restoration was done. After 2 visits of CAOH dressing obutration completed and bleach placed for a week. Composite resoration done in #8 and repeated in #9.




Nice management! The patient must have been excited to have his tooth back to normal. How long ago had the trauma occurred?
Thank you Dr. Jung
Yes, both the patient and parents were happy.
Trauma happened 3 yrs back.
Wow, long time for a kid to have a broken tooth. Again, nice case!
The Access prep cleaning shaping and subsequent interventions reveal a skilled handling of the fractured #9 case emphasizing the importance of a systematic treatment process.
Electrical Panel Installation in Glendora CA