Posts

Using TDO Collage and X-Nav

By Gary Carr / July 14, 2018

New functionality for TDO DRAW, using the Collage and adding video. https://www.youtube.com/watch?v=vu50CfpeG_w https://www.youtube.com/watch?v=DHEEeIKIu5M gbc

Reproducible Radiographs

By Gary Carr / July 14, 2018

The discussion with James brought back memories of our original PERF CBCT project (that actually […]

Cracked tooth

By Revathi Miglani / July 13, 2018

54 yr old male reported with pain and temperature sensitivity in relation to #18 for […]

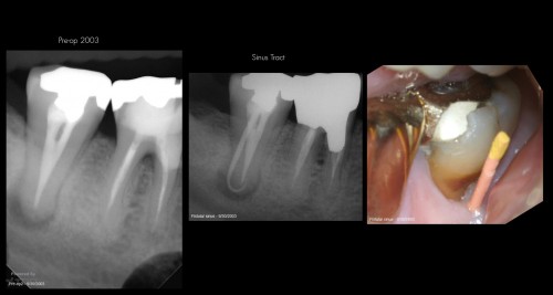
16 yr recall os a fracture

By Gary Carr / July 12, 2018

#30 RCT – 3 Distal anatomy – Truss access

By Reuben Joseph / July 11, 2018

#30 deep distal margin. Done in 2 visits. Gingivectomy and Pre-endo done. All canals shaped […]

#19 RCT – 3 Mesial Anatomy – Truss Access

By Reuben Joseph / July 11, 2018

U-File pre-bent and customized to cleanunder the truss Customized ultrasonic file used to clean the […]

Tooth #31

By Gary Carr / July 11, 2018

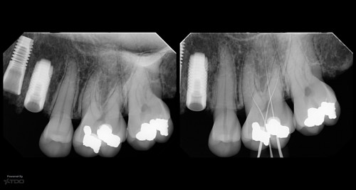
16 yr recall

By Gary Carr / July 10, 2018

Preparation for isolation : caries driven access

By Rajiv Patel / July 10, 2018

 

1st Post

By Bobby Nadeau / July 10, 2018

There it is, 1st post on TDO University. 2.7 Necrotic/CAA. Small mouth + limited opening. 2 […]

@

Not recently active