Cases

Perforation management

By Viraj Vora / July 6, 2018

23 YF presented with pain and clinical signs of GP inside the buccal aspect of […]

#7 referred with a separated file/internal resorption/calcification/apical split

By Reuben Joseph / July 6, 2018

#7 referred with a separated file/internal resorption/calcification/apical split > History of trauma and a I/O […]

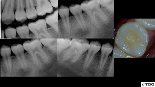
1-Year Follow-up Conservative Access.

By Dale Jung / July 4, 2018

In the hierarchy of dentin conservation the existing restorative has the lowest priority and it […]

Regenerative Endodontics – 8 year recall

By Rajiv Patel / July 3, 2018

Patient was 11 at time of treatment, 19 now!!  Case of Dens Evaginatus – swelling and […]

Fractured Bicuspid/MIE

By Dr. Angela Noguera / July 3, 2018

I wanted to post this interesting case. She is the sister of an endodontist colleague( […]

MIE: Untreated pal canal

By Dr. Angela Noguera / July 3, 2018

White , 70 yo, male presented completely asymptomatic but with a buccal ST.  Tooth had […]

#31 – C shaped Anatomy – Separated file 

By Reuben Joseph / July 2, 2018

1st Visit Exploratory access to assess prognosis to confirm restorability and rule out fracture 2nd […]

Sealer Dynamics

By Justin Jacob / June 29, 2018

Sealer dynamics helped not to leave an untreated canal in Mesio-buccal root  

#30 – Soffit Access Preparation

By Reuben Joseph / June 28, 2018

#30 Soffit access prep with incomplete de-roofing of the pulp chamber offers good resistance form […]

Caries Driven Access – #29

By Reuben Joseph / June 28, 2018

#29 referred for endo. Caries driven access through the cervical decay. Restored with fibre-reinforced composite. […]

@

Not recently active