For those who think an EPT helps

By JK

[post-views]
Page1-3
So EPT mavens, what other tests do you run to help with the decision-making?

Notes:
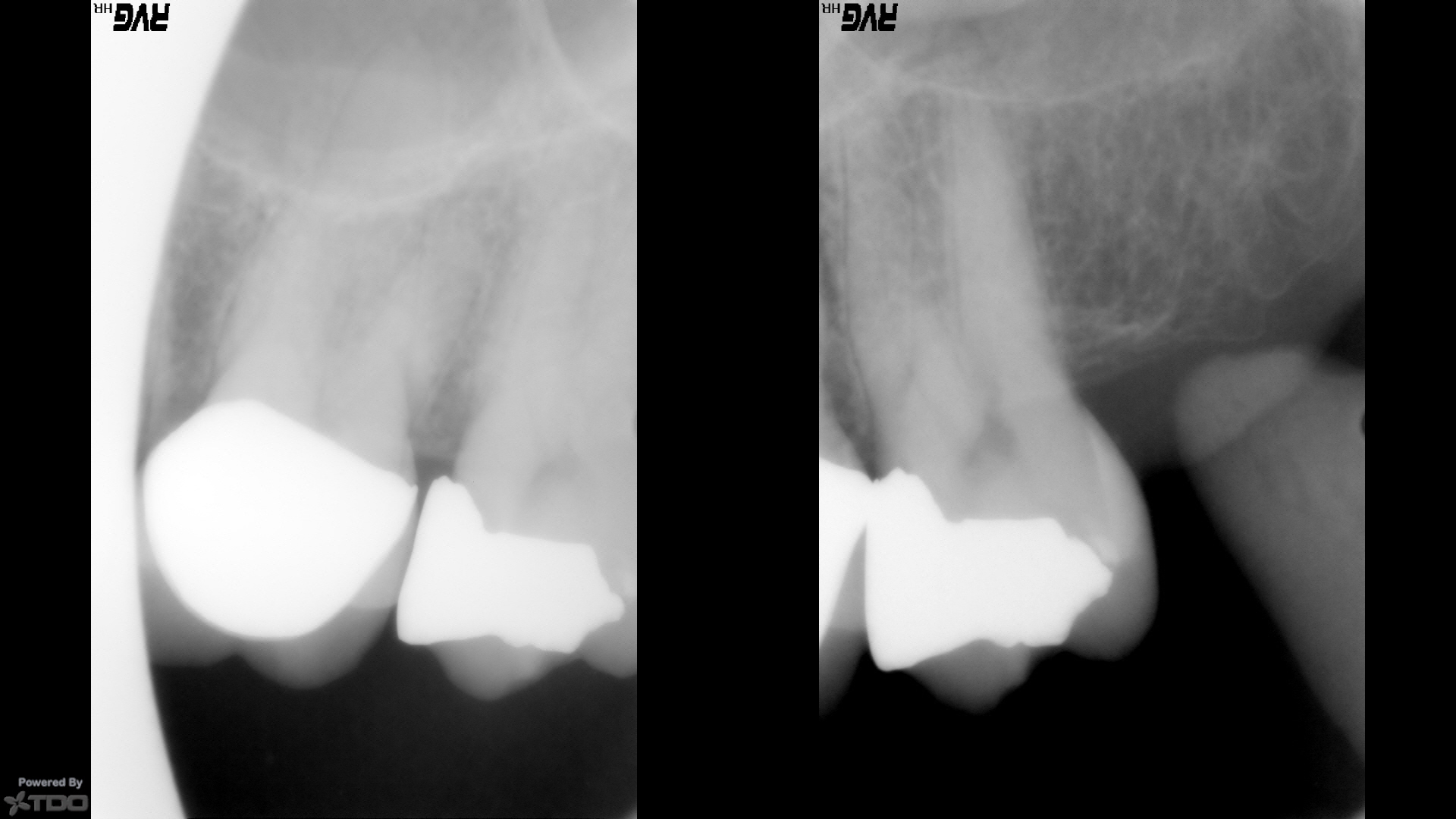
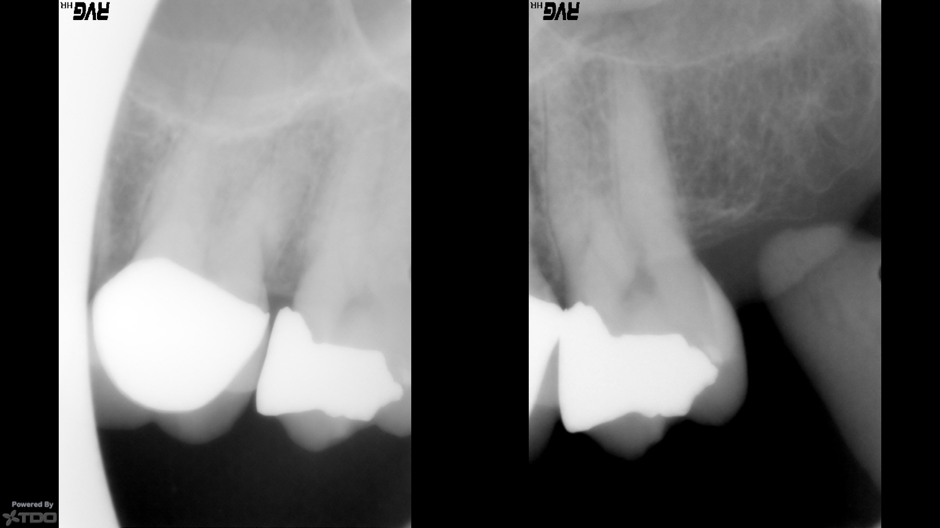
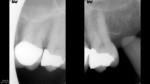
UL sensitive to hot/cold and aches for two months. Not keeping her up at night. Pressure sensitive to chewing, dull ache. No pain meds. Had large filling placed one year ago on #15. See pt. chart for test results.  Crack on number #15, large overhang. 

On Fri, Jul 20, 2018 at 3:05 PM, Gary B. Carr, D.D.S. <office@garycarrdds.com> wrote:

So….EPT mavens….what other tests do you run to help with the decision-making? gbc

JK

0 0 vote
Article Rating
Subscribe
Notify of
1 Comment
Oldest
Newest Most Voted
Inline Feedbacks
View all comments
2 years ago

Play this game mahjongfreegames such a very amazing game.

@

Not recently active