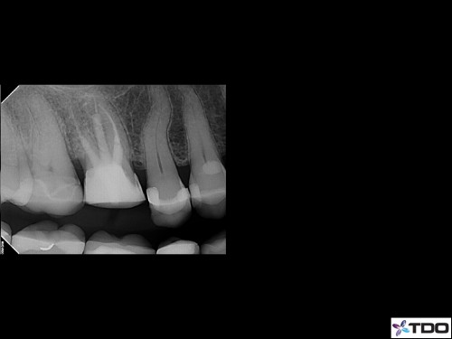
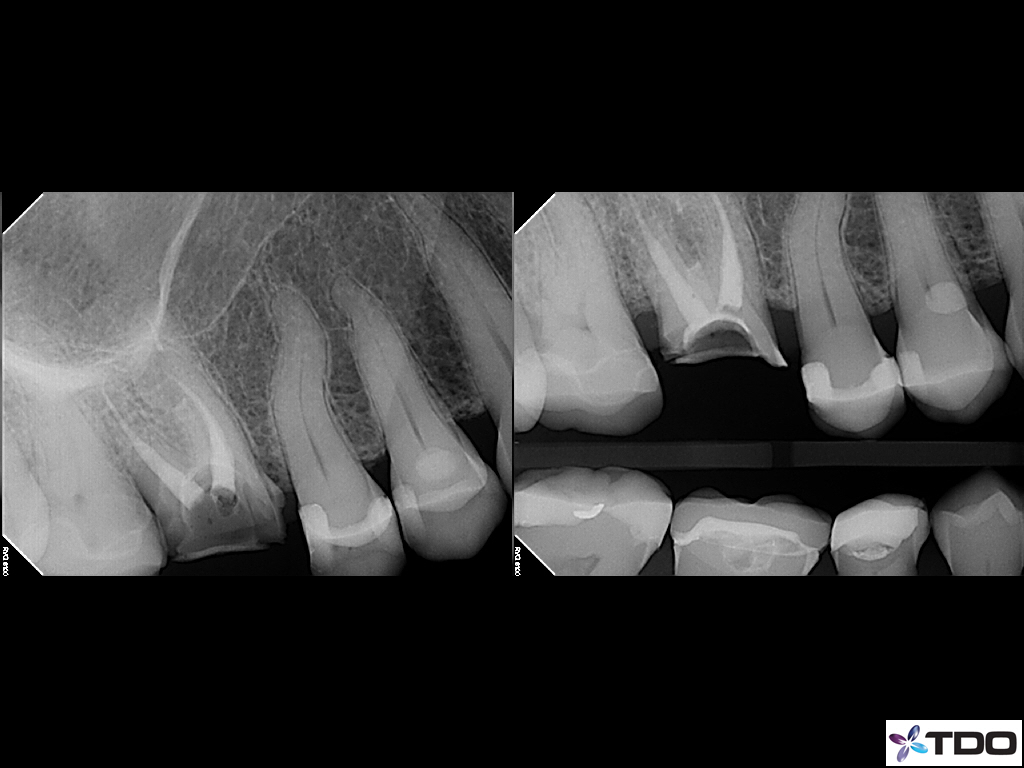
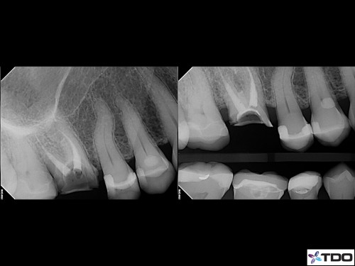
65 year-old female in good health. Root canal treatment was completed by my predecessor 15 years ago. She lost the post/crown two weeks ago. Tooth is asymptomatic. Referring doc asked if I would “do one of your magic cores so we can hold onto this tooth for a little bit longer.” No problem.

Core Only
[post-views]
Good for you Kirk,
You know you have arrived as a restorative-endodontist when you get the referral to do the core on existing endo.
The cotton/cavit endodontist never sees these cases…they are just extracted as they really should be in the cotton/cavit practice…
https://youtu.be/c0dgPlAFyK8
In cases like this, I believe it’s essential to assess the tooth’s health thoroughly before proceeding. Since the patient is asymptomatic, I would assisted living facilities near me consider options like re-evaluating the existing root canal and determining whether to replace the post and crown or explore other restorative alternatives. Patient comfort and function are priorities.