Hi Steve,
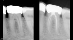
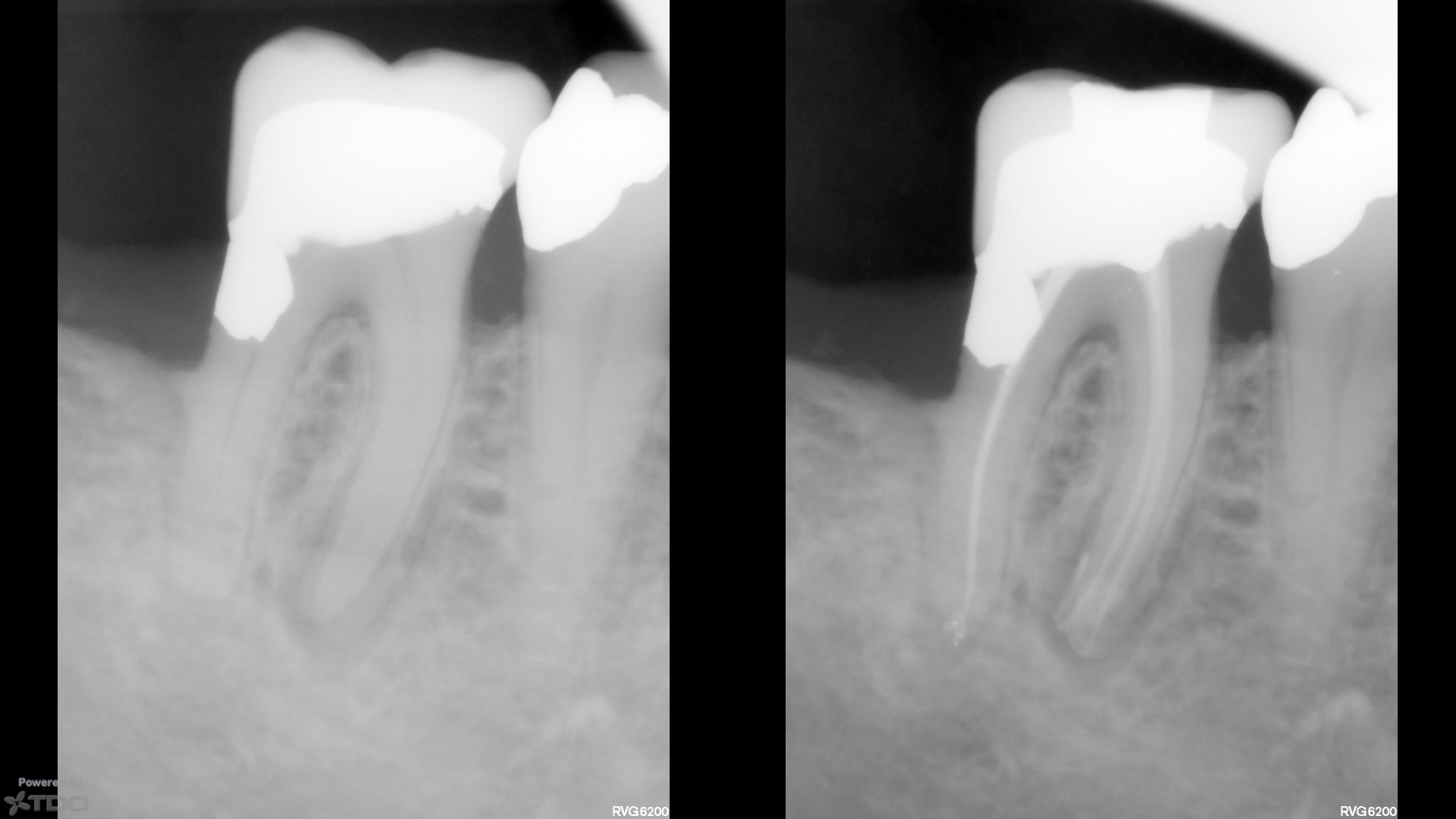
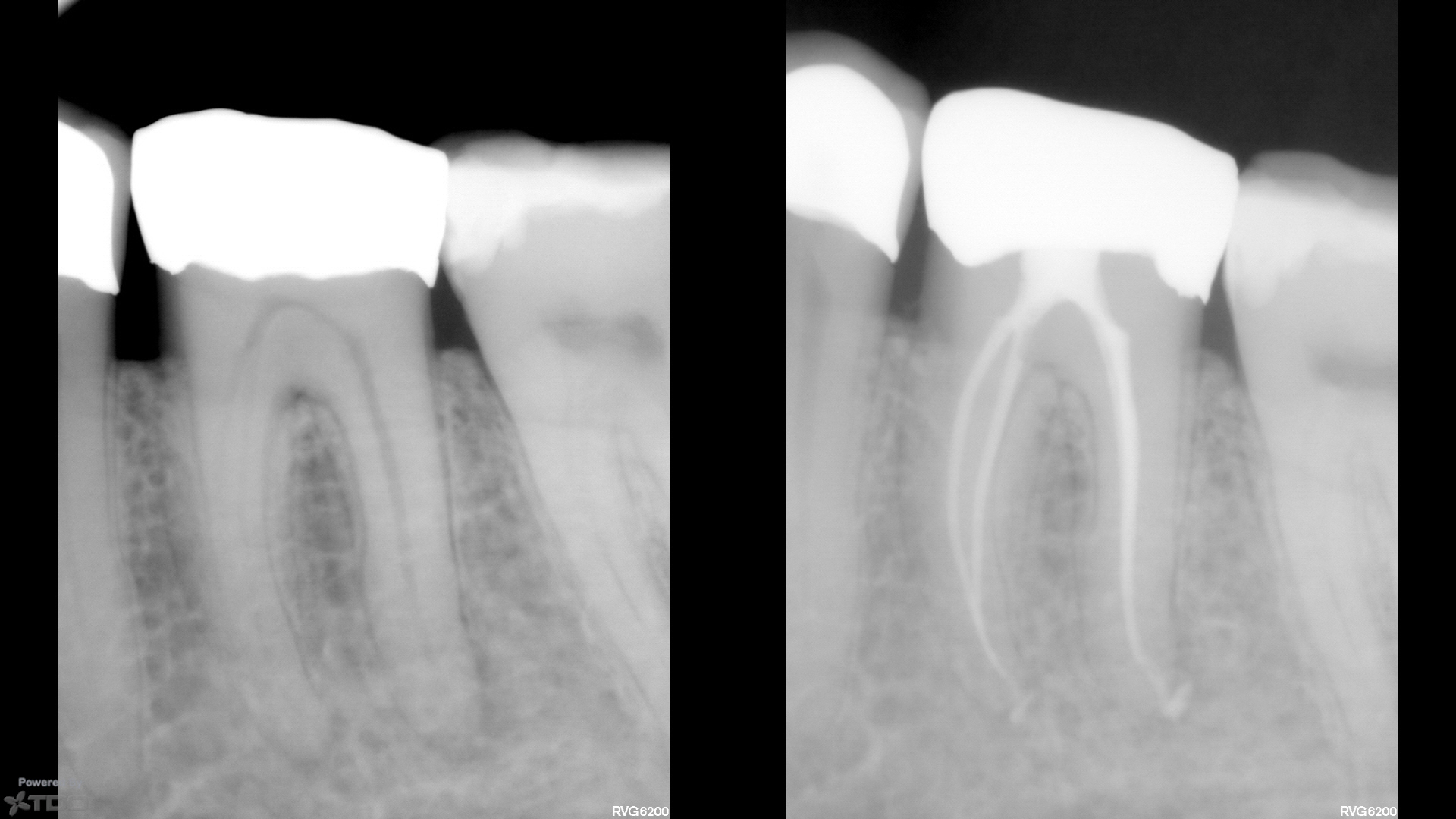
Here are a couple of single-cone BC sealer cases from today, and last week.
Both are SSW 17/V.04, single-cone (#20 cone…very thin and flimsy).
No downpack, no backfill.
CBCT post-op on the one from today demonstrating some apical anatomy if that tickles your fancy.
The second one from last week was a one-step.



I’m moving to Durango—-so I’ll have a good stream of retreatment/surgery cases to fill my schedule well into my 90’s!
:-))
The Endodontic Triad lives large in me!
gbc
Nice post how to set clock just click here.