Search for:
Home
Courses
FAQ
Getting Started with TDO University
Register
Login
Online Endodontic Education
Register
Login
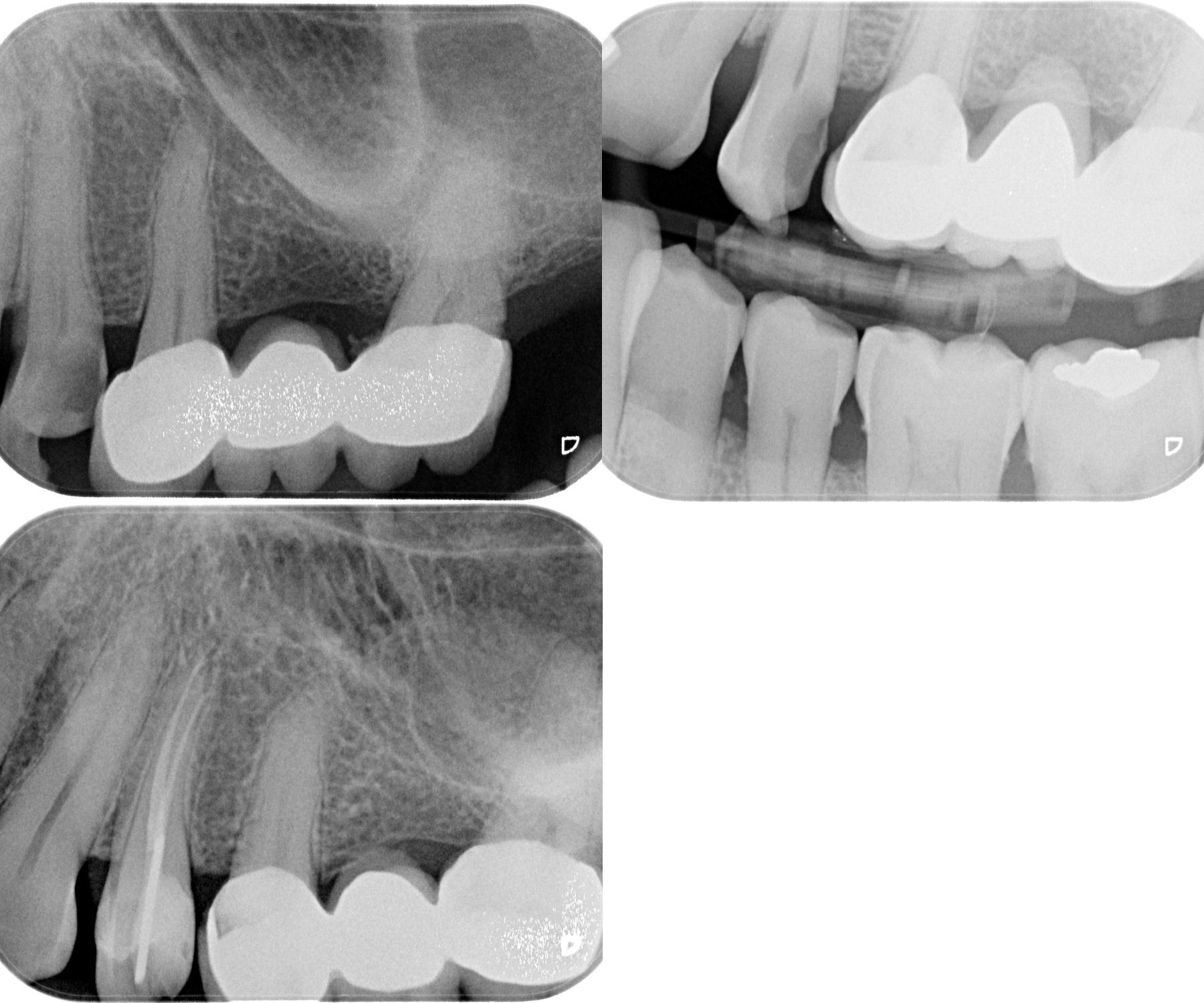
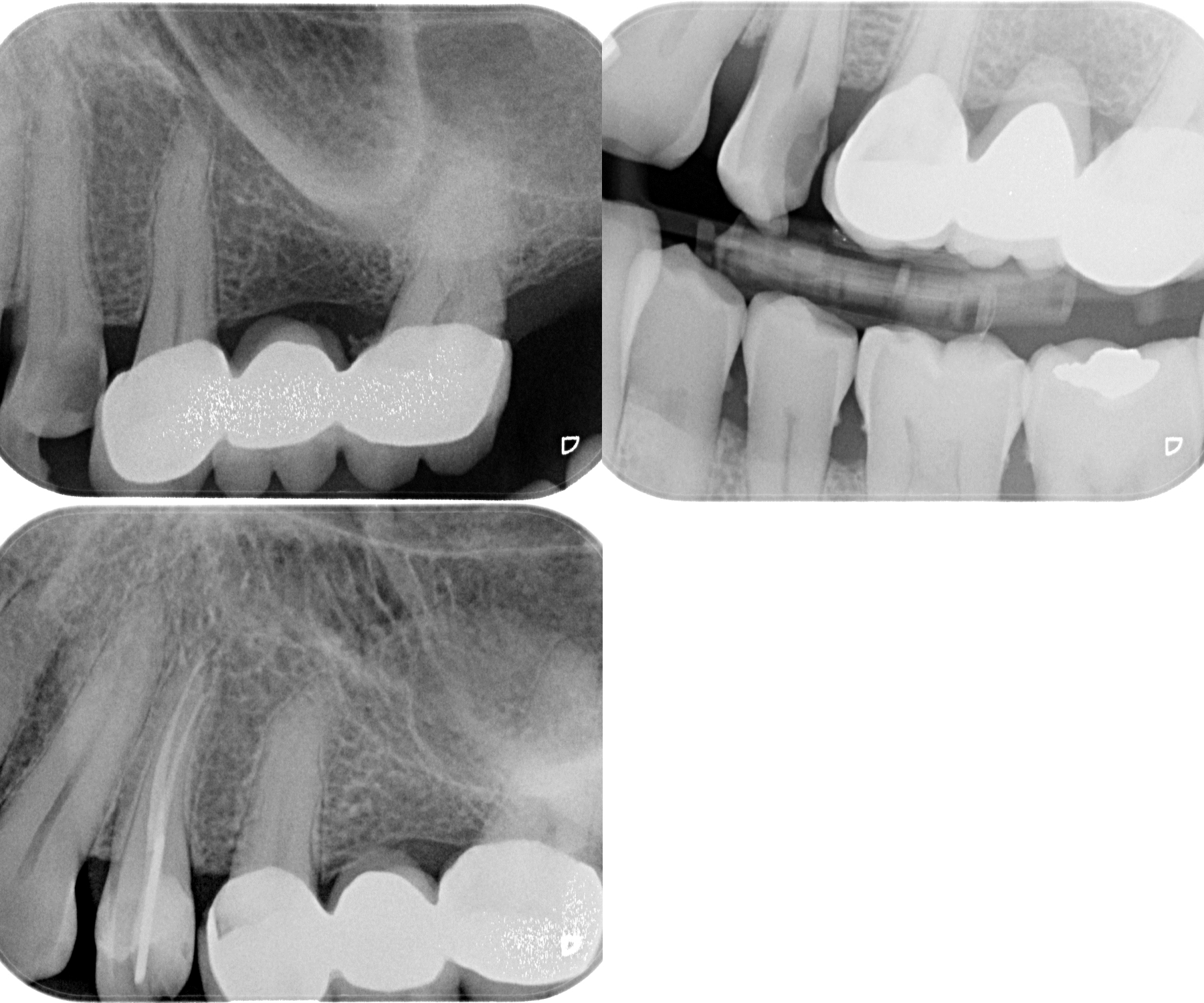
Routine RCT
By
Revathi Miglani
August 27, 2018
|
Cases
|
No Comments
[post-views]
Revathi Miglani
0
0
vote
Article Rating
Subscribe
Login
Notify of
new follow-up comments
new replies to my comments
Please login to comment
0
Comments
Inline Feedbacks
View all comments
Posts navigation
← #29 with a deep split in the middle 3rd
Perforation management →
wpDiscuz
Insert
@
Not recently active