• Home
  • Courses
  • FAQ
    • Getting Started with TDO University
Register Login

Online Endodontic Education

TDO University
Register Login

Author Archives: Charles

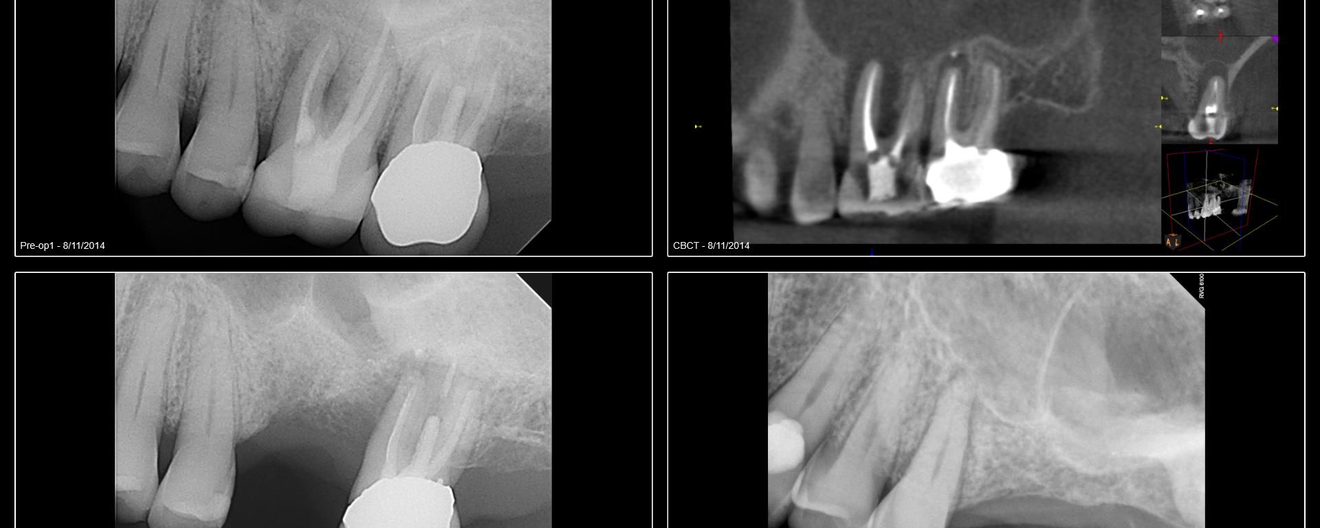
Life cycle of teeth

Life cycle of teeth

August 10, 2018 2 comments

I began seeing this patient in 2014. Tooth #14 was diagnosed with a vertical root fracture at that time and the tooth was removed and the site grafted. He then presented in 2015 with a VRF of #15. It was removed and we discussed an implant in the #14 site. He did not follow up […]

CharlesAugust 10, 2018 2 comments
Charles
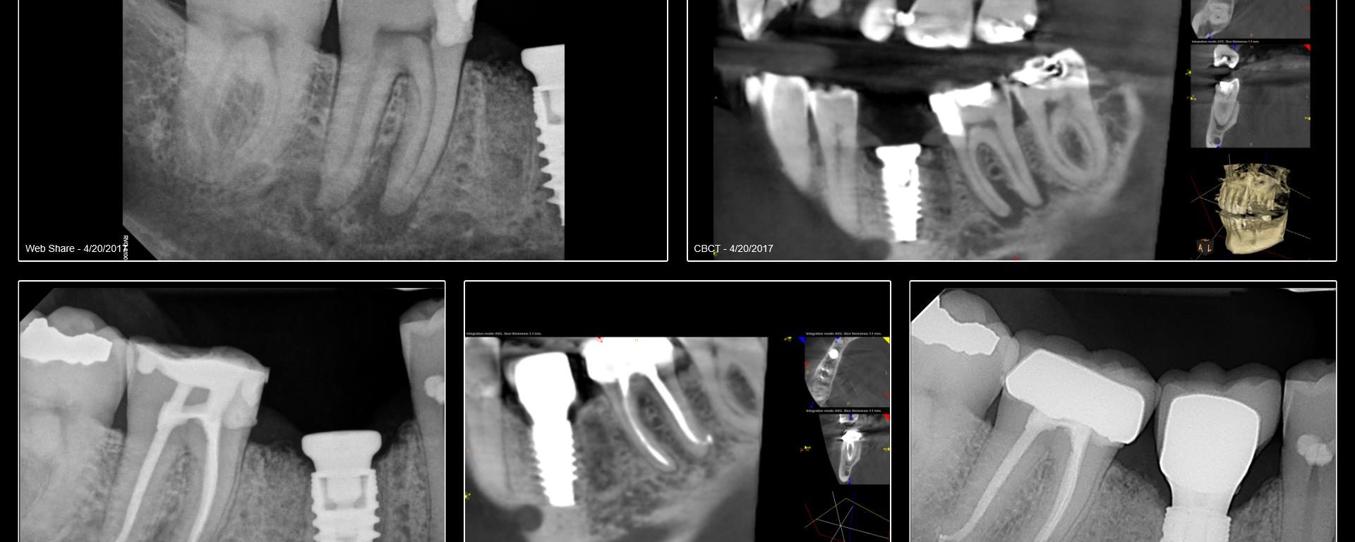
Another MIE Healing

Another MIE Healing

August 8, 2018 0 comments

This case was started in February and completed on Monday. We are currently bleaching the tooth. The buccal plate has regenerated rather nicely and the finding is continuing to heal. -Charles

CharlesAugust 8, 2018 0 comments
Charles
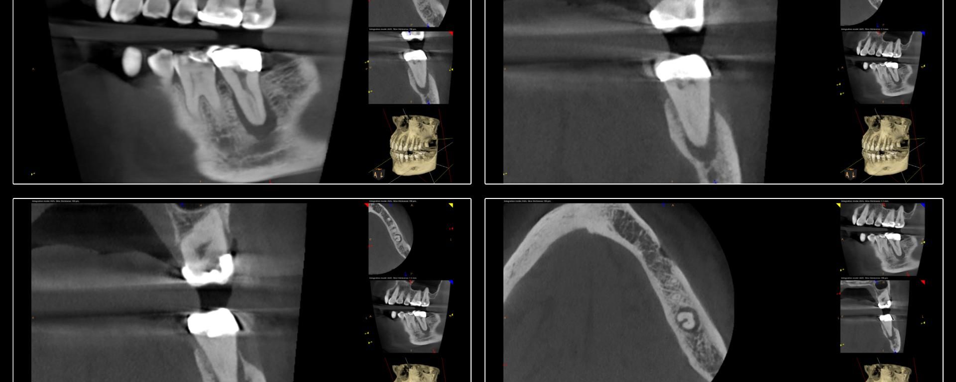
MIE Healing

MIE Healing

August 7, 2018 0 comments

This was a finish from last week.  The largest file used was a 20.  The innovation of the heat treated files allow us to be more conservative from the access to the instrumentation. -Charles

CharlesAugust 7, 2018 0 comments
Charles
Dynamically Guided Endodontic Access

Dynamically Guided Endodontic Access

July 31, 2018 13 comments

Dynamic navigation has been in dentistry for many years. It remains in its infancy in endodontics but is proving to be very helpful for the access of calcified teeth. This is a case from yesterday in which dynamic navigation was used to allow for a conservative access while locating the calcified canal. -Charles

CharlesJuly 31, 2018 13 comments
Charles
Truss recall

Truss recall

July 31, 2018 0 comments

This patient was in for another tooth which I will share in a following post. One year recall for #31. -Charles

CharlesJuly 31, 2018 0 comments
Charles

Categories

© 2018 - TDO University
  • Home
  • All Courses
  • Privacy Policy

@

Not recently active