• Home
  • Courses
  • FAQ
    • Getting Started with TDO University
Register Login

Online Endodontic Education

TDO University
Register Login

Author Archives: Siju Jacob

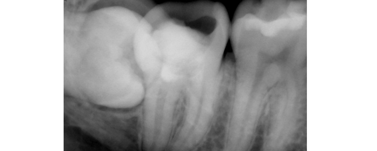
Selective Re-treat of Missed MB2

Selective Re-treat of Missed MB2

August 20, 2018 2 comments

 

Siju JacobAugust 20, 2018 2 comments
Siju Jacob
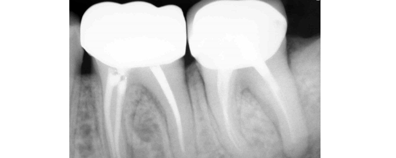
Selective Re-treatment of Distal Root

Selective Re-treatment of Distal Root

August 20, 2018 0 comments

Patient came in with a sinus tract and lesion in the distal root. I Re-treated just the distal root alone. sinus tract disappeared after 2 weeks of Caoh.

Siju JacobAugust 20, 2018 0 comments
Siju Jacob
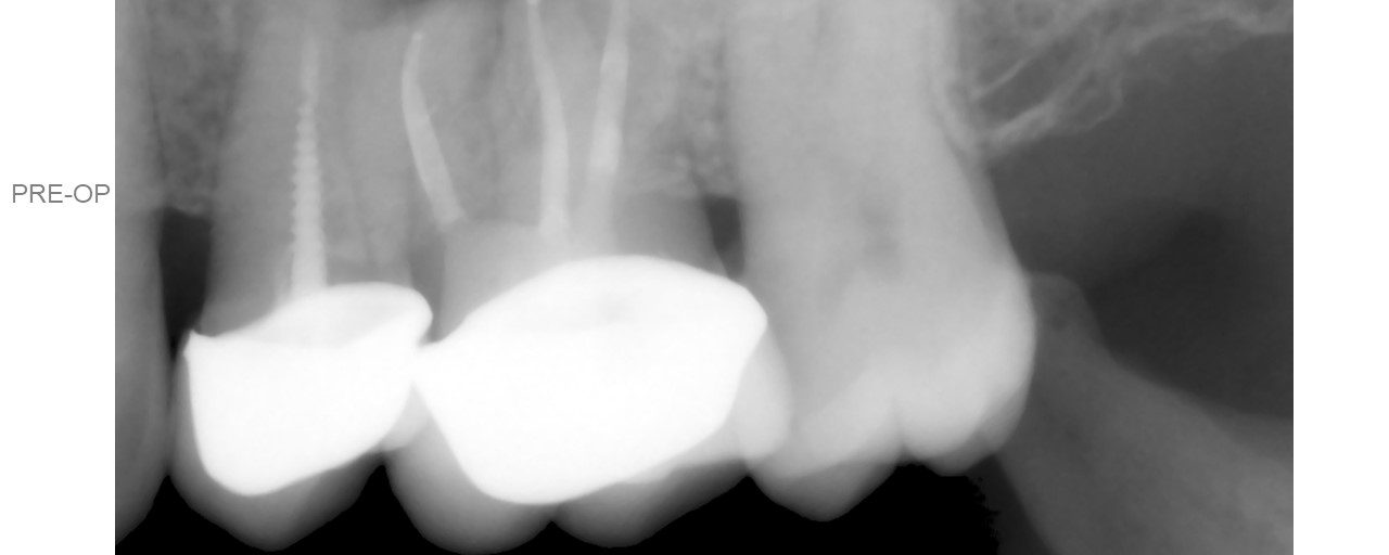
Apexogenesis + Selective Endo

Apexogenesis + Selective Endo

June 27, 2018 5 comments

Patient was to be reviewed 2 weeks after initial treatment. Turned up after 3 years. The distal canal had a Nice layer of Dentin. I left it alone. Should I have gone in?

Siju JacobJune 27, 2018 5 comments
Siju Jacob

Categories

© 2018 - TDO University
  • Home
  • All Courses
  • Privacy Policy

@

Not recently active