Posts

Her other tooth.

By JK / July 23, 2018

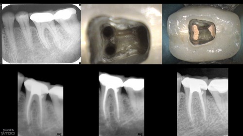
In today regarding this tooth I treated in 2005. Stepped access, two step crown repair […]

Three year followup on NSRCT with amalgam crown repair

By JK / July 23, 2018

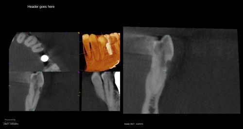
In today for another tooth which I will post under separate cover. CBCT in CH […]

DME #2 on a cadaver

By Excellence in Endodontics / July 23, 2018

Thought we would try some practice on JK’s challenge to do a DME on a […]

For those who think an EPT helps

By JK / July 23, 2018

So EPT mavens, what other tests do you run to help with the decision-making? Notes: […]

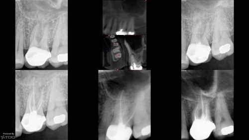
#14 RCT

By Reuben Joseph / July 23, 2018

#14 RCT Pre-op: Deep sub-gingival distal margin. Gingivectomy followed by margin elevation and isolation. The […]

Nice Restorative Pin-Treatment of Max 2nd Molar

By Nishan Odabashian / July 23, 2018

This is the tooth of a 74 active female. Came in with pain to percussion […]

Still learning

By Bobby Nadeau / July 23, 2018

#2.6 NP/SAP, 2 visits, asymptomatic at 2nd visit, System B gingivectomy. Tried to apply best […]

3 yr ECIR repair recall

By Gary Carr / July 20, 2018

I struggled with the composite. I think I could do it better today but at […]

For those who think an EPT helps

By Gary Carr / July 20, 2018

So….EPT mavens….what other tests do you run to help with the decision-making? gbc

20 yr recall today

By Robert Grover / July 20, 2018

The Trifecta. Disease oriented, process centered, and patient relevant!!!! You get a gold star. Bob […]

@

Not recently active