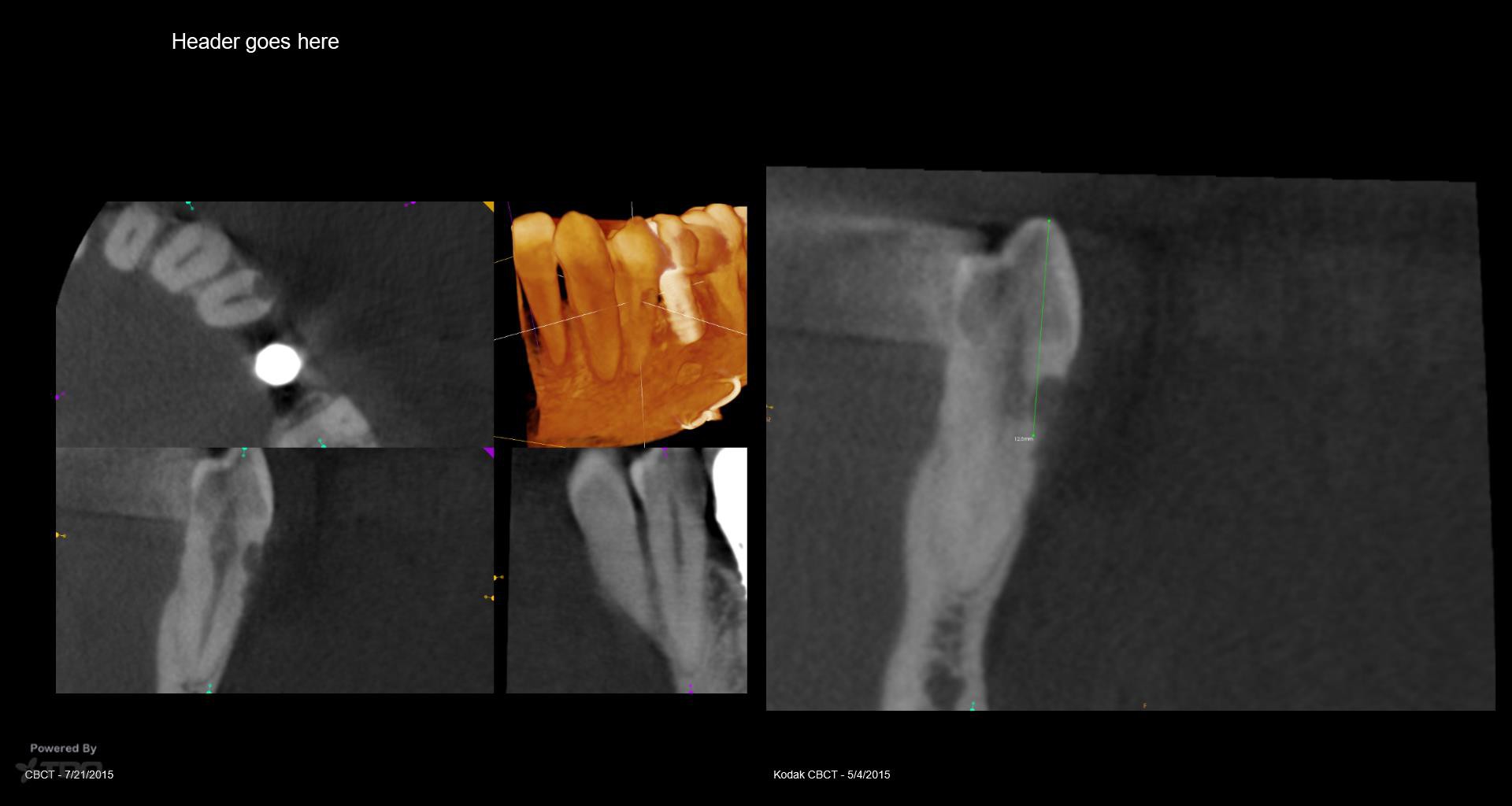
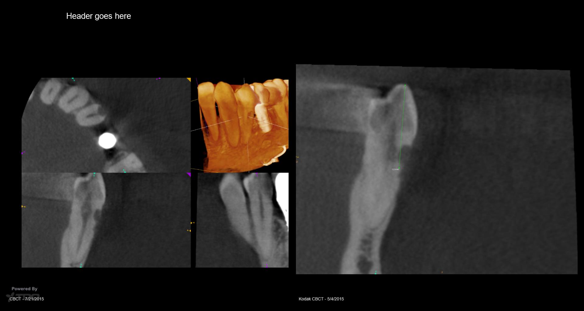
I struggled with the composite. I think I could do it better today but at least the repair seems to be holding. The defect went from line angle to line angle–the whole buccal face of the tooth. . gbc
Moram podijeliti svoje iskustvo jer sam nedavno počeo koristiti Spinit i ugodno sam iznenađen koliko sve funkcionira glatko. Prvo što me zanimalo bio je Postupak registracije u Spinit Casinu, jer ne volim platforme gdje se mora prolaziti deset nepotrebnih koraka. Ovdje je sve stvarno jednostavno – osnovni podaci, potvrda računa i odmah možeš istraživati što nudi. Sve je intuitivno pa se i početnici jako brzo snađu, bez nervoze i kompliciranja https://spinit-croatia.com/ .
Nakon što sam završio registraciju, logično me privukla Ponuda casino igara u Spinit Casinu. Iako ne smijem koristiti određene riječi, mogu reći da se sadržaj brzo učitava, pregledno je raspoređen i ima dovoljno različitih opcija da svakome nešto odgovara. Ono što mi se posebno svidjelo je to što se sve može filtrirati, pa ne gubiš vrijeme na traženje onoga što te zanima. Grafika je moderna, a atmosfera vrlo zabavna, što mi je uvijek važno kad se želim malo opustiti nakon posla.
Također sam primijetio da se sve više korisnika zanima za Sportsko klađenje u Spinit Casinu. Moram priznati da mi se dopada što ponuda obuhvaća jako širok izbor natjecanja i događaja. Koeficijenti su pošteni, a sučelje pregledno, što je bitno ako voliš pratiti više utakmica odjednom ili koristiti live opcije. Sve djeluje stabilno i brzo reagira, bez zastajkivanja u ključnim trenucima.
Naravno, jedna od najvažnijih stvari je kako funkcioniraju Uplate i isplate u Spinit Casinu. Do sada sam isprobao nekoliko metoda i sve je prošlo bez problema. Uplate su trenutne, a isplate brzo obrađene, što mi daje dodatno povjerenje. Cijenim to što su provjere sigurnosti temeljite, ali ne usporavaju cijeli proces.
Moram podijeliti svoje iskustvo jer sam nedavno počeo koristiti Spinit i ugodno sam iznenađen koliko sve funkcionira glatko. Prvo što me zanimalo bio je Postupak registracije u Spinit Casinu, jer ne volim platforme gdje se mora prolaziti deset nepotrebnih koraka. Ovdje je sve stvarno jednostavno – osnovni podaci, potvrda računa i odmah možeš istraživati što nudi. Sve je intuitivno pa se i početnici jako brzo snađu, bez nervoze i kompliciranja https://spinit-croatia.com/ .
Nakon što sam završio registraciju, logično me privukla Ponuda casino igara u Spinit Casinu. Iako ne smijem koristiti određene riječi, mogu reći da se sadržaj brzo učitava, pregledno je raspoređen i ima dovoljno različitih opcija da svakome nešto odgovara. Ono što mi se posebno svidjelo je to što se sve može filtrirati, pa ne gubiš vrijeme na traženje onoga što te zanima. Grafika je moderna, a atmosfera vrlo zabavna, što mi je uvijek važno kad se želim malo opustiti nakon posla.
Također sam primijetio da se sve više korisnika zanima za Sportsko klađenje u Spinit Casinu. Moram priznati da mi se dopada što ponuda obuhvaća jako širok izbor natjecanja i događaja. Koeficijenti su pošteni, a sučelje pregledno, što je bitno ako voliš pratiti više utakmica odjednom ili koristiti live opcije. Sve djeluje stabilno i brzo reagira, bez zastajkivanja u ključnim trenucima.
Naravno, jedna od najvažnijih stvari je kako funkcioniraju Uplate i isplate u Spinit Casinu. Do sada sam isprobao nekoliko metoda i sve je prošlo bez problema. Uplate su trenutne, a isplate brzo obrađene, što mi daje dodatno povjerenje. Cijenim to što su provjere sigurnosti temeljite, ali ne usporavaju cijeli proces.