Her other tooth.

By JK

[post-views]
Page1-5
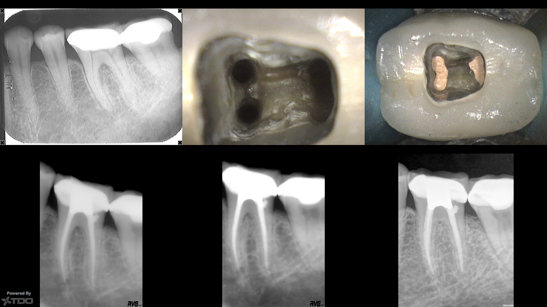
In today regarding this tooth I treated in 2005.

Stepped access, two step crown repair with amalgam internal core with HF etched, silanated, opaqued and resin veneer.
Shapes were ProFile S29 #5/.06 mesials, #6/.06 distals…large for that time but I was trying it out to see if it made any difference.  Normal shapes at that time would probably have been a #3 or #4 mesials, #4 or #5 distals.*
10 year followup shown.

*S29 ProFiles where "Schilder inspired" safe-ended, landed rotary NiTi with a 29% increase in diameter.  A #4 was around a 20/.06, and a #5 was around a 30/.06 and a #6 was around a 35/.06…so those were not that big of a shape.

JK

0 0 vote
Article Rating
Subscribe
Notify of
0 Comments
Inline Feedbacks
View all comments

@

Not recently active