Posts

13 years on a tooth which shouldn’t have made it

By Gary Carr / July 31, 2018

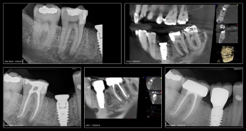
How to avoid fractured roots

By JK / July 31, 2018

In today post recent symptoms on this tooth I retreated in 2010. Short-term followups from […]

How to avoid fractured roots

By Gary Carr / July 31, 2018

Pulp horns, deep finish lines

By JK / July 31, 2018

In a different thread, CB commented on his concerns about a pulp horn.  I have […]

Dynamically Guided Endodontic Access

By Charles / July 31, 2018

Dynamic navigation has been in dentistry for many years. It remains in its infancy in […]

Truss recall

By Charles / July 31, 2018

This patient was in for another tooth which I will share in a following post. […]

Apexogenesis

By Dr. Angela Noguera / July 27, 2018

Very young 7 yo male.  Original injury Nov 2015. Tooth was restored/bonded and became symptomatic […]

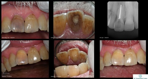
Non-vital Bleaching

By Dr. Angela Noguera / July 27, 2018

Tough very old discolored tooth. Previous RCT dome over 40 years ago. No pain, completely […]

Roger Lewis as a test

By Gary Carr / July 27, 2018

This is  a test. To see if sarcastic works. And the Google Link works.  Roger Lewis […]

Pt presented with persistent sinus tract on B

By Dr. Angela Noguera / July 27, 2018

Pt presented with persistent sinus tract on B. RCT’s done by another endodontist in town. […]

@

Not recently active