Posts

Part 3 of unintended Recall

By Gary Carr / August 10, 2018

Part 2 of unintended recall

By Gary Carr / August 10, 2018

Life cycle of teeth

By Charles / August 10, 2018

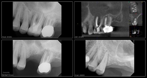
I began seeing this patient in 2014. Tooth #14 was diagnosed with a vertical root […]

Suspected delamination case over 12 years

By Gary Carr / August 9, 2018

The patient is now 89. Looks like it’s time to do a root resection.

Gold Phil Timmins

By Gary Carr / August 8, 2018

If you ever get an opportunity to work with Tucker gold people, take it….because they […]

Another MIE Healing

By Charles / August 8, 2018

This case was started in February and completed on Monday. We are currently bleaching the […]

ICR…crown or no crown?

By Dr. Angela Noguera / August 8, 2018

This was a pt I saw Dec 2015 with extensive coronal ICR. It really did […]

MIE Healing

By Charles / August 7, 2018

This was a finish from last week.  The largest file used was a 20.  The […]

MIE/ Pt. management

By Dr. Angela Noguera / August 7, 2018

Case from today.  Clearly her D decay guided the main access, Tooth on M was […]

Another 6-Month Follow-up

By Dale Jung / August 6, 2018

From last week. 59yof. SIP. Hyperemic. 6 canals. 2 visits. Asymptomatic at the second visit. […]

@

Not recently active