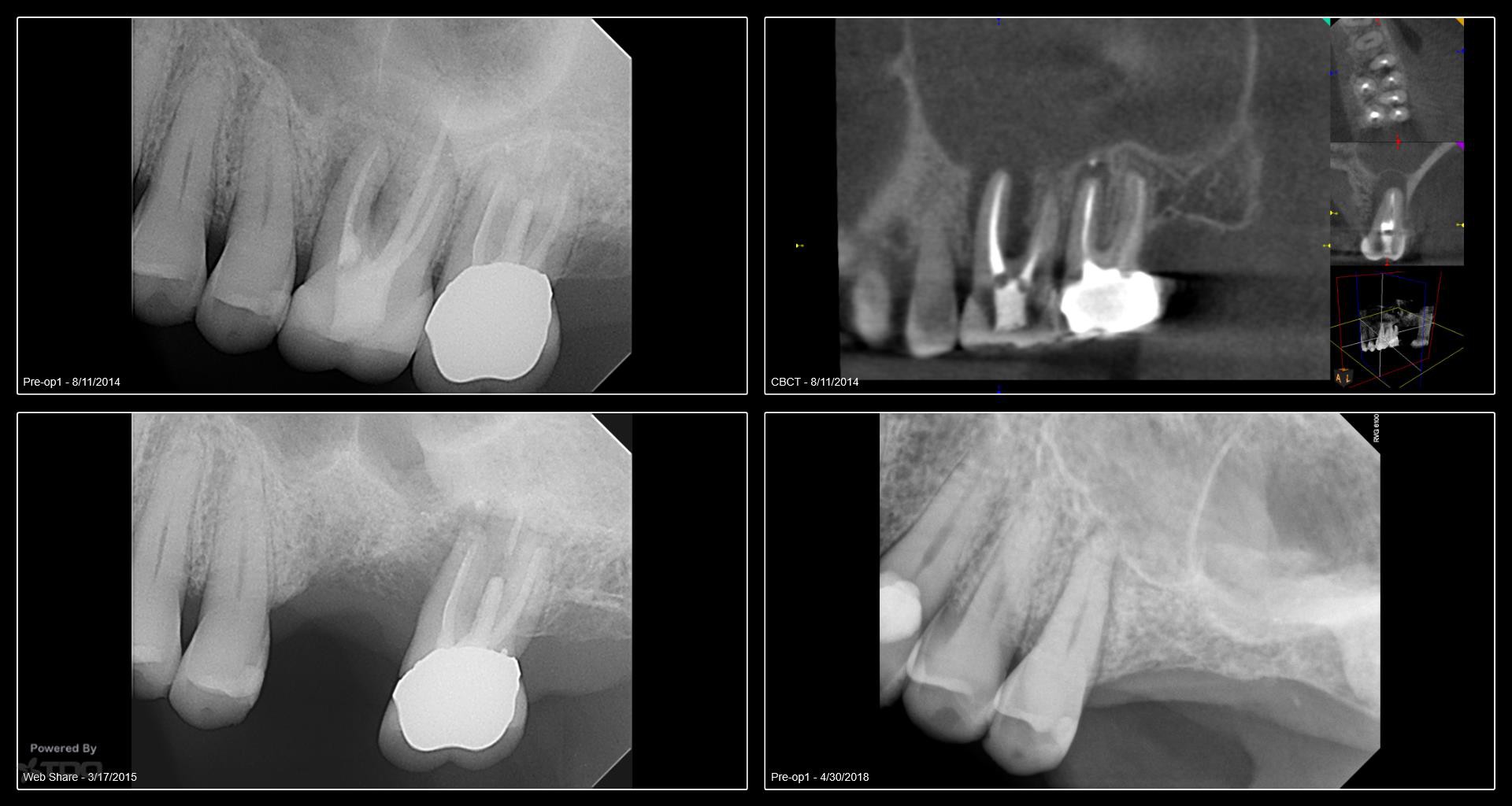
I began seeing this patient in 2014. Tooth #14 was diagnosed with a vertical root fracture at that time and the tooth was removed and the site grafted. He then presented in 2015 with a VRF of #15. It was removed and we discussed an implant in the #14 site. He did not follow up with the implant. He presented earlier this year with a vertical root fracture of #13. The tooth was removed in April and implants were placed today. Internal sinus lifts were performed for both #’s 13 and 14. I will uncover in 4 months. We have also discussed the importance of a night guard. Hopefully he will follow through with the guard. -Charles



Do you have the trephines for me on this case?
gbc
An interesting narrative on the tooth life cycle. Best wishes for the patients ongoing dental journey emphasizing the importance of consistent follow up and preventive measures.
Top Roadside Assistance in Worthington OH