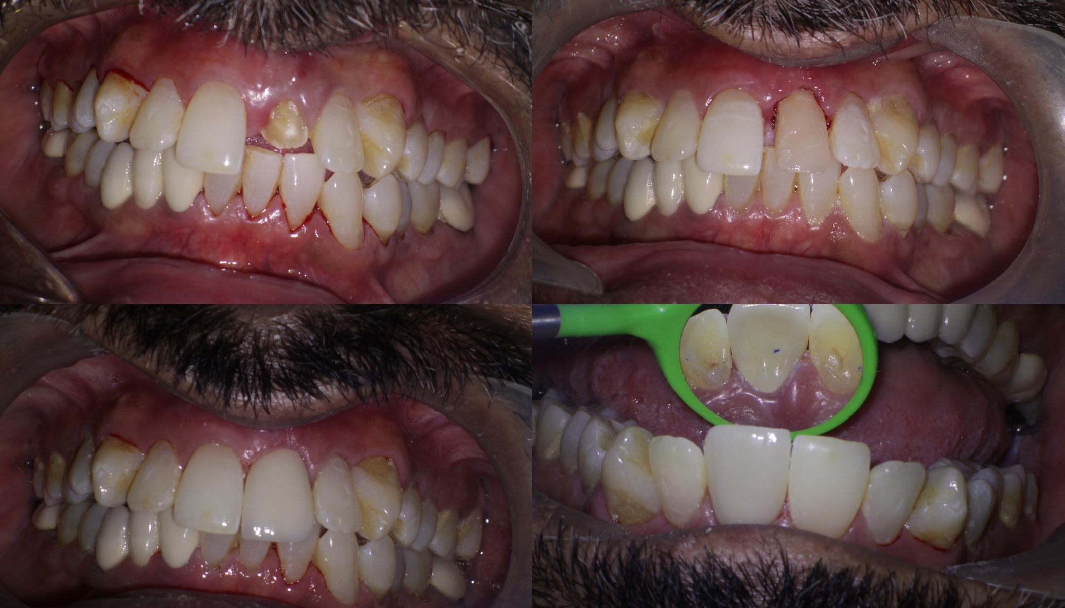
Pt 55 yoM presented with fracture of #9. History of trauma 2 wks back and was aymptomatic. Gingivectomy using electrocautery was done. Root canal therapy was completed after intermittent CAOH dressing , fibre post cemented and composite build up was done.




The article provides useful information for dentists on how to handle complicated tooth fractures slice master
كسر التاج اللي يمتد تحت اللثة حالة طبية تتطلب دقة عالية في التعامل معها، والرجوع لأبحاث جامعة TDO يعطينا رؤية أعمق وأفضل في طرق العلاج.
فعلاً مثل هذه المعلومات تساهم في تحسين جودة العناية السنية وتساعد المختصين في اتخاذ القرار الصح.
أنا بين ما أطلع على هالمواضيع العلمية، آخذ بريك وأستخدم Instagram story download عشان أغير جو بلمح البصر.