Upcoming decoronation

By JK

[post-views]
C23-768x512
I agree Rick.

Someone posted a case on the AAE Connection and Gary asked Sir Winston for his comments (which are on TDO-U):
They are below:
Winston Chee via perfendo.org
12:35 PM (11 minutes ago)
to Gary

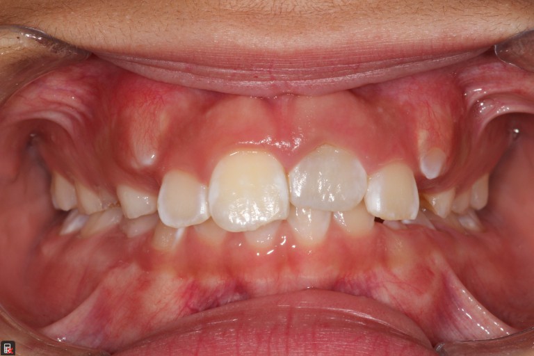
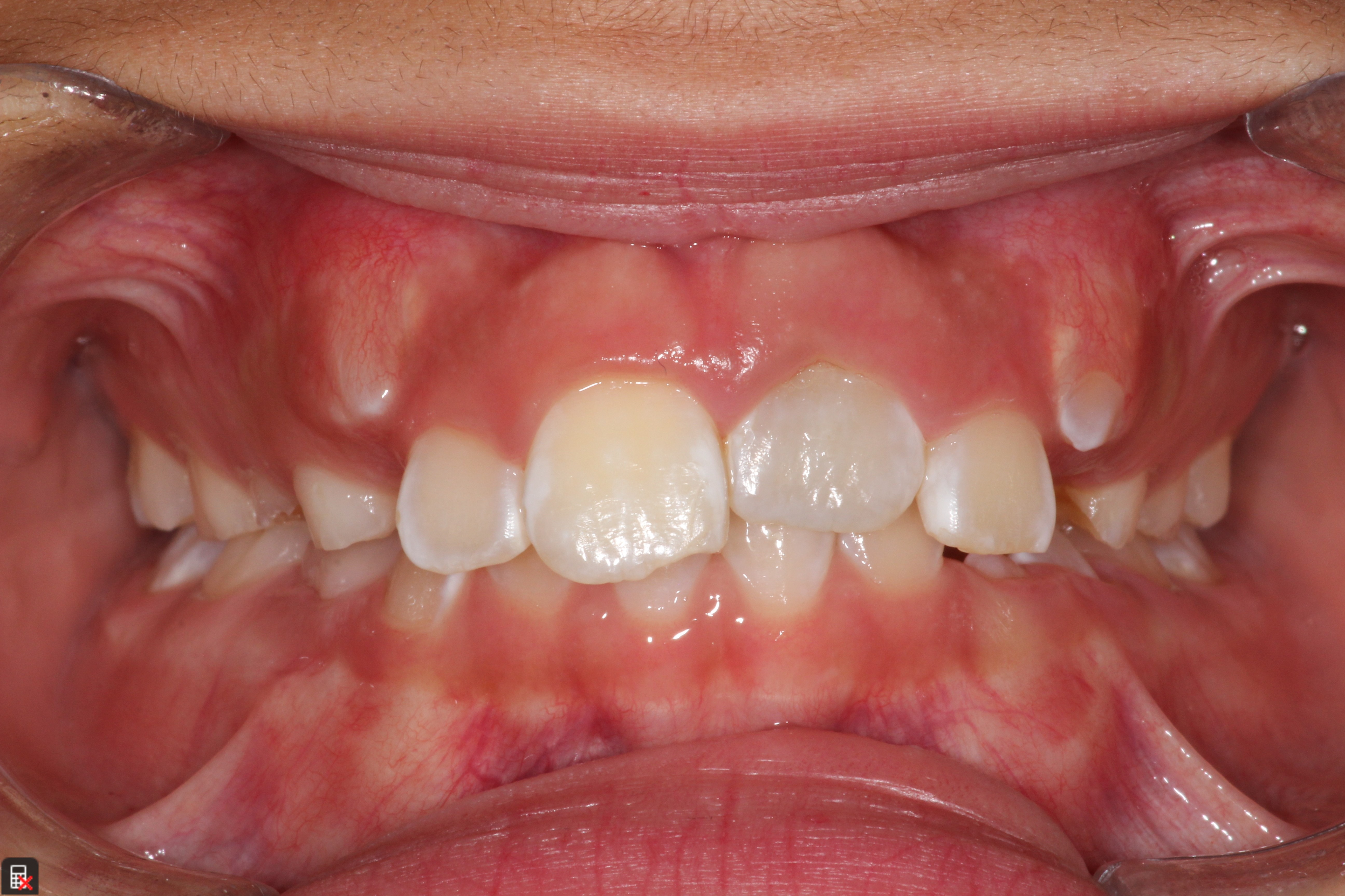
Gary for this patient a periodical film would help – the issue is NOT endo but the defect caused by eruption of the adjacent teeth – the PA film shows there is a vertical defect now that can be managed. The best thing would be to make sure there is a seal in the canal, then bleach the coronal part of the restoration, after which an additive type restoration to build out the rest of the clinical crown for esthetics – lithium disilicate would be my first choice of material to use.

Then someone has to watch for her growth spurt – and as soon as it happens the tooth has to be removed – this will reduce the defect that will become much more on the growth of the maxilla – there is also some discussion about whether the ankylosed tooth will affect maxillary growth – this is much like placing an implant too early but worse. Orthodontic care for this potential movie star should also be delayed because any treatment now would have to be worked around this tooth and any eruptive force would created a vertical periodontal defect that might jeopardize the adjacent teeth.

Once the tooth is out ortho can commence

More likely than not a bone graft would have to be managed and a good periodontist and prosthodontist team should collaborate

my 2 cents

Dr. Winston Chee
Ralph & Jean Bleak Professor of Restorative Dentistry
Director, Advanced Education in Prosthodontics
Director, Implant Dentistry
I wrote:
There is a lot to agree with in RickS's comments.

1) She already looks goofy with the soft-tissue.  Asymmetry is a powerful cue.  Look at those rolled margins…

2) She could already could be starting a growth spurt.  It's not like it's a totally linear event.  With girls, on average it is around 10, and there is considerable variability.  Of course, thinking of it as a distribution…All the sudden, if she is an early starter, she may be 2-3 years into it before it's caught.

3) ITT.  What if her parents don't bring her in, or they move, or go elsewhere, or see some clown that wants to put an implant in now?  She is better off getting "crippled" now and more recoverable later.

4) What Sir Winston said is going to make a longer, more goofy tooth and that will increase the mechanical advantage, as well as be more likely to get knocked, pounded on, hit by the lowers when she bites into an apple…and then snapped off…likely right before a photo shoot…  I mean…there are prior probability issues here…she's already hit it…and it looks like the adjacent once…


———- Forwarded message ———
From: JK <jkhademi@gmail.com>
Date: Fri, Aug 3, 2018 at 3:49 PM


Let me add that it looks like she is a mouth breather as well…I would certainly be looking at that and all those associated issues.


The lateral ceph suggests lip incompetence, and the occlusals suggest both some acidity and significant parafunction, both potentially "causal" or "a result of" an airway issue.

I mean…even her permanent incisors evidence some wear…

This kid shows up in my practice, she is going straight to the orthodontist.

As a 9yo, in my office, with her concerns…this is a five alarm fire.



———- Forwarded message ———
From: JK <jkhademi@gmail.com>
Date: Fri, Aug 3, 2018 at 4:46 PM
.
.
.


[I don't agree with] Winston's management of this…especially with a clear parafunctional overlay increases the risk of snap-off and an unplanned mess…
Look at the PCD at the alveolar crest…

Delaying the orthodontics is probably the worst thing about this whole case.
She needs to see an airway-aware orthodontist now…and in my eyes…we should have had there there 2-3-4 years ago.

.
.
.


———- Forwarded message ———
From: JK <jkhademi@gmail.com>
Date: Fri, Aug 3, 2018 at 5:14 PM


Let me add that the evidence here is that she is precocious…and likely to be in her growth spurt now.  


I mean…look at the difference in incisal edge height that has occurred in just three years, and that assume the the tooth "ankylosed immediately" after it was replanted three years ago.  Her canines are already coming in for Christ's sake at nine.  You want to wait how many more years for how much more deformation in that area?  It's friggin' already getting deformed and an issue…


———- Forwarded message ———
From: JK <jkhademi@gmail.com>
Date: Fri, Aug 3, 2018 at 5:21 PM

It is already affecting the vertical defect. 
The current discrepancy has happened in less than three years, and there is no reason to expect this discrepancy to not increase while we "wait to detect her growth spurt"…were we afforded the opportunity to do so.

In fact, her canines are already visible.

It is most likely that she is in her growth spurt now.
She is already crowded.
My take is that it is the enamel that keeps things from moving…and we need to get that enamel out of the way ASAP.

JK

5 1 vote
Article Rating
Subscribe
Notify of
9 Comments
Oldest
Newest Most Voted
Inline Feedbacks
View all comments
7 years ago

Thank you for the reply. I did not consider the airway issue, parafunction, and signs of precocious growth. I’ll bring those up with the orthodontist. Her mother is starting to accept the idea of decoronation, and it is the most likely course of action.

1 year ago

Embrace a healthy lifestyle with Balanced Bites’ meal delivery service in Dubai, UAE. Our carefully curated meal plans feature a variety of nutritious, delicious dishes designed to support your wellness goals. Enjoy the convenience of chef-prepared meals delivered to your doorstep, making healthy living simple and enjoyable.

1 year ago

Osh University and  International MBBS programs are committed to shaping the future of medical professionals in Kyrgyzstan. Their partnership provides an excellent platform for students to excel in the healthcare field.

Immerse yourself in the warmth of naran hospitality as you explore its cultural richness and natural wonders. From cozy guesthouses to family-run eateries, Naran welcomes you with open arms to experience its charm and beauty.

11 months ago

Delaying ortho until after the growth spurt and tooth removal is critical to avoid worsening the periodontal defect or that’s not my neighbor compromising adjacent teeth.

6 months ago

Every day, waffle game brings you a new puzzle – just hard enough to challenge you, but easy enough to keep you motivated.

4 months ago

‘Thank you for the reply,’ I saw that and thought, airway issues in orthodontics are key! Wonder if a mental age test  or even something like the moca test could help assess maturity for treatment planning, especially considering precocious growth. Just musing on the subway.

1 month ago

Every narrow escape in the Dinosaur Game feels like a heroic moment of perfect timing and precision!

@

Not recently active