Pulp horns, deep finish lines

Pulp horns, deep finish lines

In a different thread, CB commented on his concerns about a pulp horn.  I have not seen a case fail from an "undebrided pulp horn."  If we think about it just a little bit, we don't debride the apical portion well, and cases still work.  So conversations about the coronal pulp chamber are pretty pointless. […]

The new “Look”

The new “Look”

Nec/SAP. I had a historical on this from 2005…subsequent to which a Zirc was placed. I took a look at it and knew there wasn't going to be any point in a traditional access…i.e. even if I cut a traditional access, it would be a search and try-not-to-destroy in the roots.  Found four PONs. CBCT […]

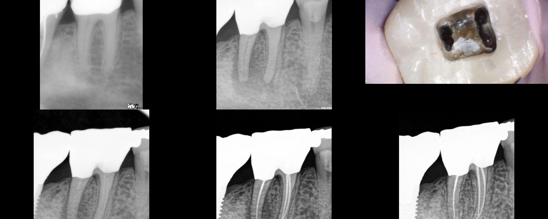
Also in today

Also in today

My lab tech. First saw him in 2001 with the separated instrument and finding around the mesial root on this endo that "does not meet the standard of practice in contemporary endodontics."  We thought was about 20 years old at the time.  Only findings were radiographic.  Panel 2 shows a two year followup in my […]

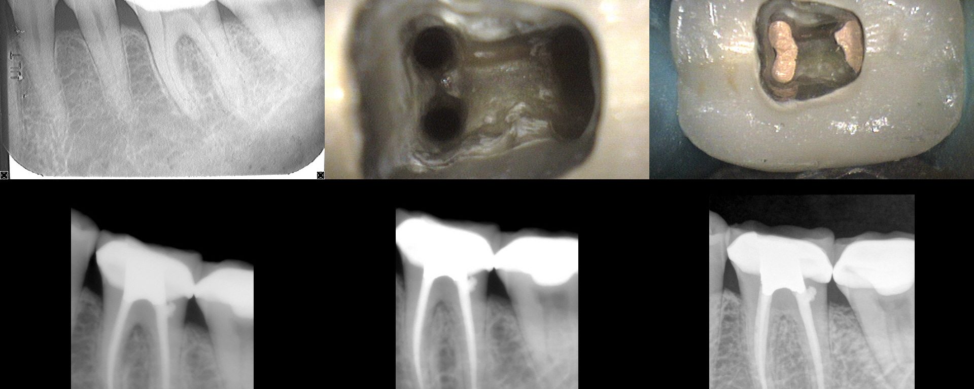
Her other tooth.

Her other tooth.

In today regarding this tooth I treated in 2005. Stepped access, two step crown repair with amalgam internal core with HF etched, silanated, opaqued and resin veneer. Shapes were ProFile S29 #5/.06 mesials, #6/.06 distals…large for that time but I was trying it out to see if it made any difference.  Normal shapes at that […]

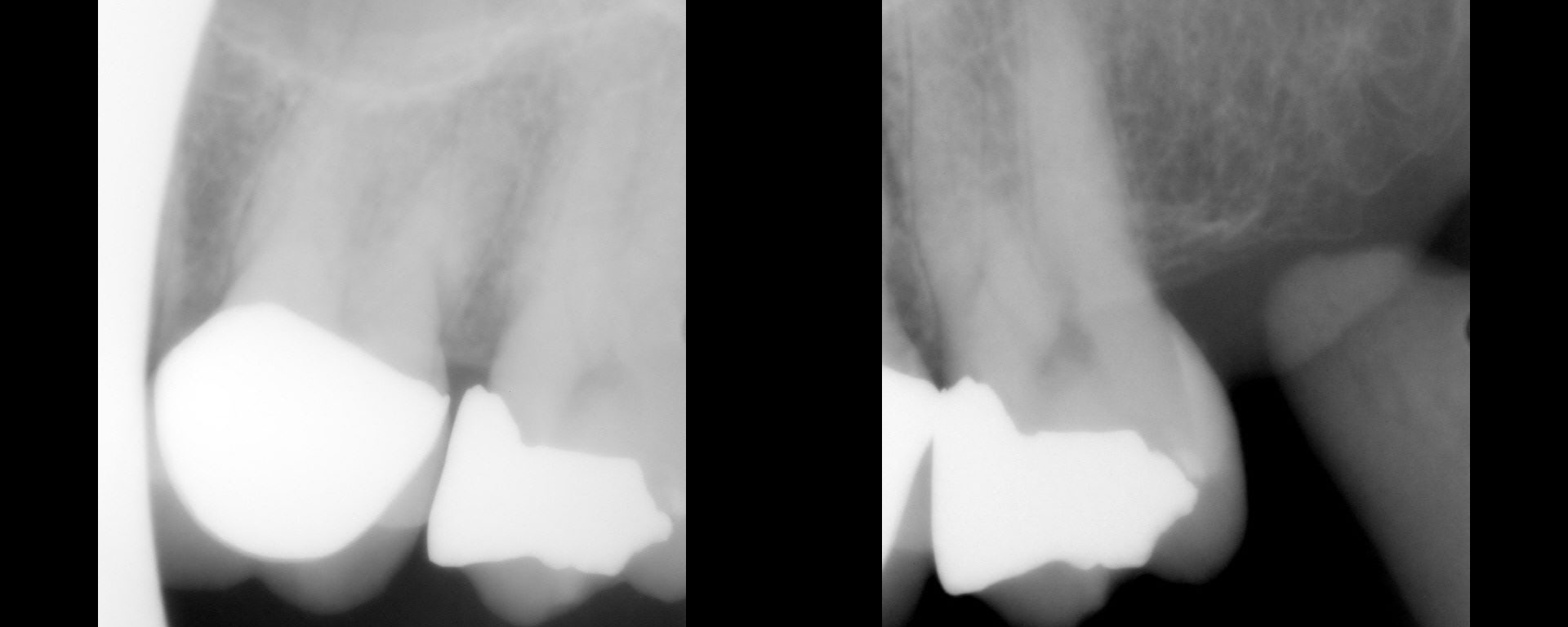
Access is planned, not prescribed

Access is planned, not prescribed

Here, traditional access would have removed most of the remaining PCD.  We leveraged the caries and existing loss of tooth structure at the mesial, and poked a hole in the distal with an EG4.  Chairside in the scope manages the field and NaOCl irrigation easily. Temporary was left off with hygiene instructions.  Tissue was healing […]

reproducible radiographs

On Sat, Jul 14, 2018 at 9:13 AM, Gary B. Carr, D.D.S. <office@garycarrdds.com> wrote: The discussion with James brought back memories of our original PERF CBCT project (that actually launched the CBCT revolution in endodontics, although no one gives us credit for that). Carlos Murgel, Peter Endo and I compared standard PA and CBCT imaging […]

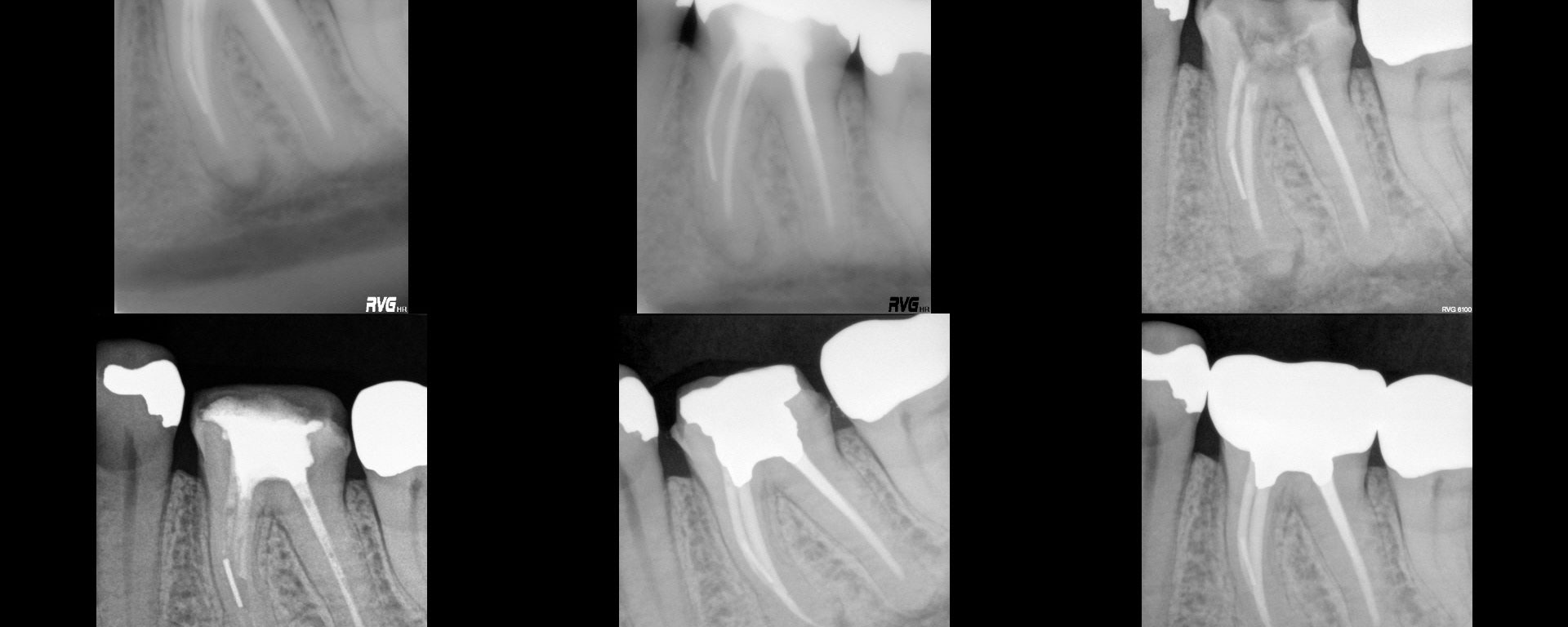
Struggling with elevated margins

Struggling with elevated margins

Hi Gary, What you want to do is flush-up first, then do the DME. Here…it looks like there is a distal concavity that isn't flushed up. Then, you put in the finish line, but the finish line is relative to the "not-flushed-up" direct margin. You don't need the teflon tape…although that's fine…the objective is not […]