Also in today

By JK

[post-views]
Page1-6
My lab tech.

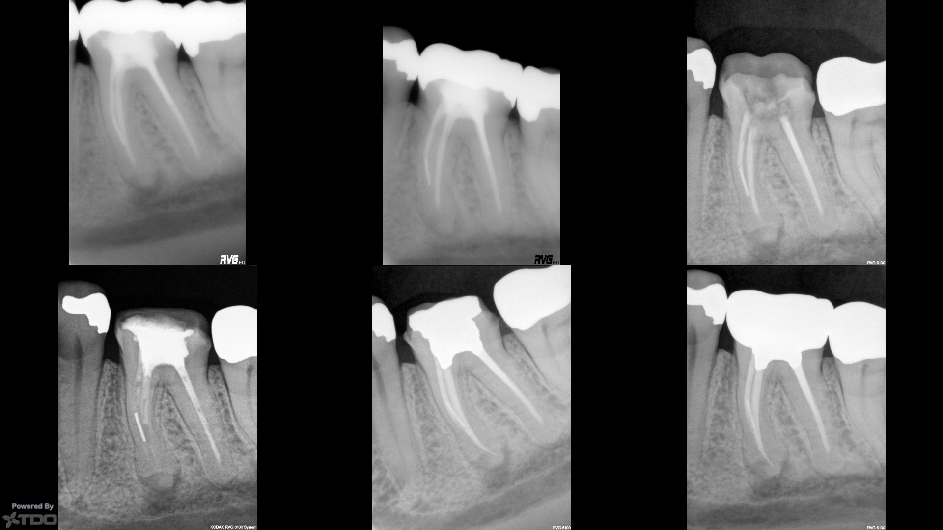
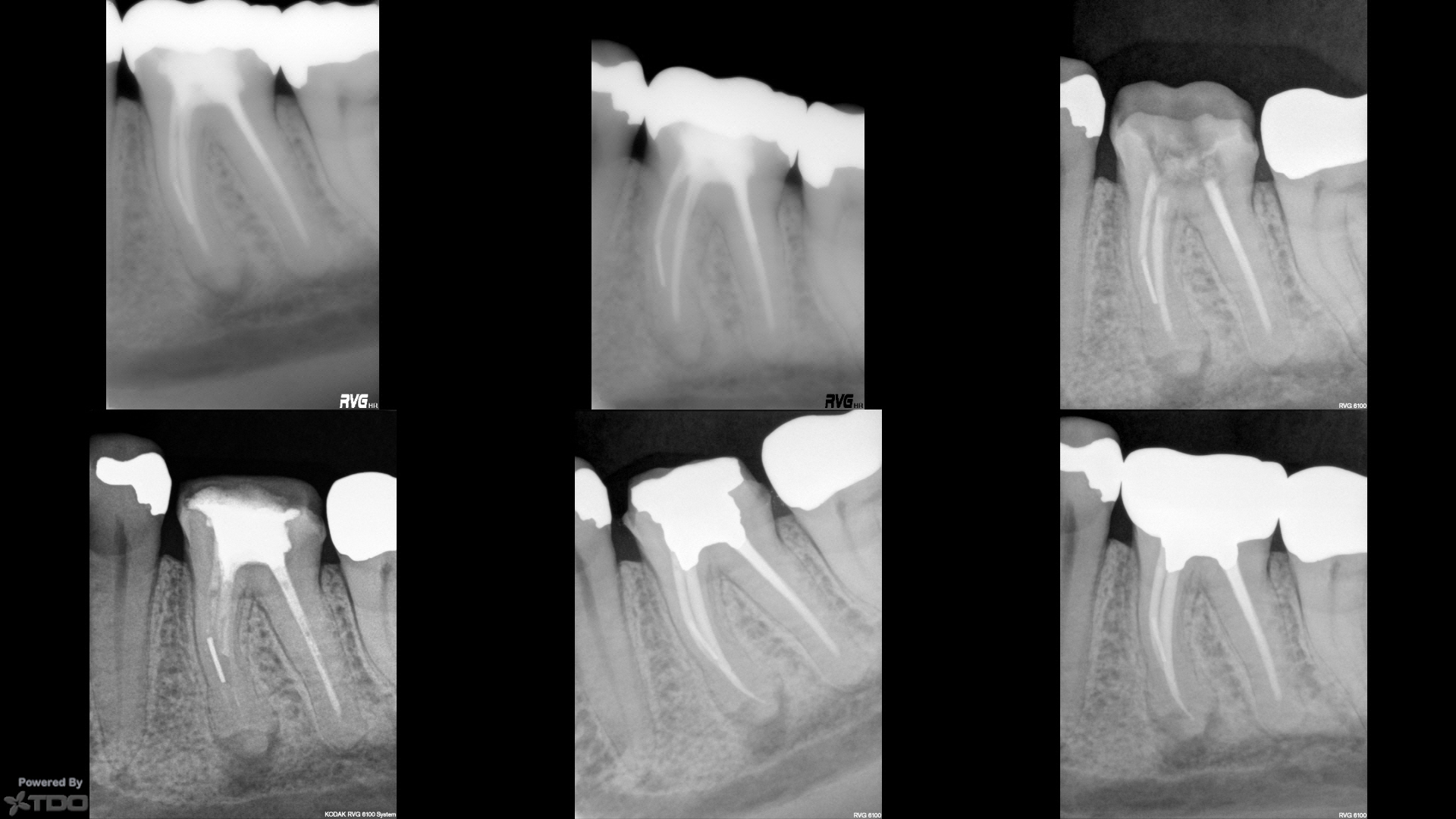
First saw him in 2001 with the separated instrument and finding around the mesial root on this endo that "does not meet the standard of practice in contemporary endodontics."  We thought was about 20 years old at the time.  Only findings were radiographic.  Panel 2 shows a two year followup in my office.  Crown came off in 2013 (panel 3) and was open to the oral environment and full of lunch.  I retreated, but was unable to gain patency and did not really try to get the instrument out.  Completely asymptomatic the whole time.  20/V.06 shapes.
I did the amalgam core, crown preparation and triple-tray impression.  He made the crown and I cemented it with RelyX.  One year followup in panel 6 with the mesial finding seemingly stable.

JK

0 0 vote
Article Rating
Subscribe
Notify of
0 Comments
Inline Feedbacks
View all comments

@

Not recently active