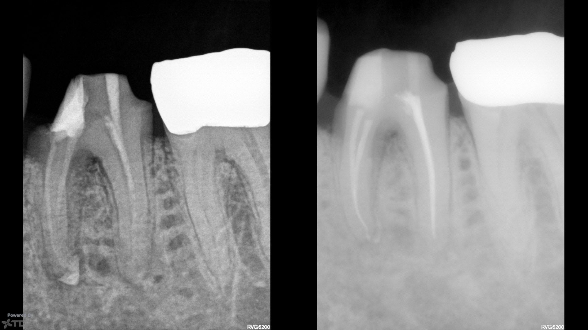
Here, traditional access would have removed most of the remaining PCD. We leveraged the caries and existing loss of tooth structure at the mesial, and poked a hole in the distal with an EG4. Chairside in the scope manages the field and NaOCl irrigation easily.
Temporary was left off with hygiene instructions. Tissue was healing well at 1wk, and was perfect today at 1mo complete (not shown). CBCT at the start visit suggested a missed DB, which was addressed at the complete visit today.
Resin mesial and distal.
Shapes were SS White V-taper 17/V.04 mesials, 20/V.06 distals.
Very nice! So what is the best restoration than manages the mesial margin, since its at the soft tissue margin? A feather edge on tooth or restorative material?
Experience a healthy diet with Balanced Bites’ meal delivery service in Dubai, UAE. Our meal plans offer a variety of delicious, nutrient-packed dishes designed to support your wellness goals. Enjoy the convenience of chef-prepared meals delivered right to your doorstep, making healthy eating easy and enjoyable.
As a leading state university , Osh University is committed to providing accessible and quality education to a broad spectrum of students, making it a preferred choice for those seeking higher education.
Very nice! So what is the best restoration than manages the mesial margin, since its at the soft tissue margin? A feather edge on tooth or restorative material?
gbc
With a skilled restorative dentist and technician a feather edge gold restoration is do-able…but I’m talking beyond my pay grade.
Here, the VertiPrep would probably be best as tooth structure is available 360. This will probably get a light chamfer and gold however…
Experience a healthy diet with Balanced Bites’ meal delivery service in Dubai, UAE. Our meal plans offer a variety of delicious, nutrient-packed dishes designed to support your wellness goals. Enjoy the convenience of chef-prepared meals delivered right to your doorstep, making healthy eating easy and enjoyable.
As a leading state university , Osh University is committed to providing accessible and quality education to a broad spectrum of students, making it a preferred choice for those seeking higher education.