ER Patient

[post-views]
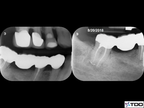
#31 Purulent drainage 3v 1

66 yof

ER patient. Left drainage hole and medicated/closed 3 days later.

Asymptomatic at the complete appt 20 days later.

Dale Jung

0 0 vote
Article Rating
Subscribe
Notify of
1 Comment
Oldest
Newest Most Voted
Inline Feedbacks
View all comments
14 days ago

NicView login is an indispensable feature for parents wanting to stay connected with their baby in the NICU nicview login

@

Not recently active