Posts

Amalgam core

By Revathi Miglani / February 5, 2019

 

RCT on Max 2nd Molar Getting an Olnay

By Nishan Odabashian / February 5, 2019

Patient had a preparation for an onlay and developed severe pain. She asked her sister […]

RCT on Max 2nd Molar with Fx Composite Restoration

By Nishan Odabashian / February 1, 2019

Patient referred for RCT after her tooth became symptomatic a few months after fracturing part […]

Lower First Molar ready to be crowned:

By Nishan Odabashian / January 31, 2019

The patient is getting two crowns on teeth #18 and #19. He developed symptoms on […]

Response letter to Root Cause

By JK / January 29, 2019

What a weak, sad reply from these three presidents.  There are 1000 reasons to not […]

GW test

By Gary Carr / January 24, 2019

A bench test to see the GW effect on a case with a fractured instrument. […]

Injection-molded ferrule resurrection w/o endo

By JK / January 24, 2019

RD removed crown and reported resorption under crown, but it looks just like decay.  She […]

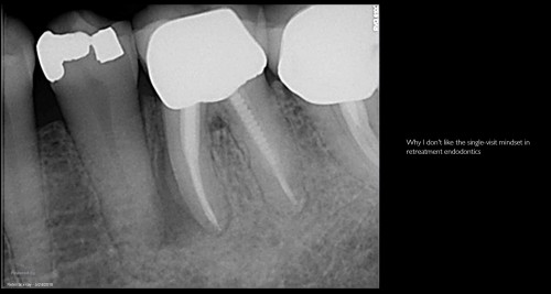
Single visit mindset

By Gary Carr / January 22, 2019

Patient in for a sinus tract check recall today asking questions…… All treatment done by […]

RCT- Maxillary Molar with Carabelli cusp

By Revathi Miglani / January 22, 2019

 

Tough Restorative

By Revathi Miglani / January 21, 2019

 

@

Not recently active