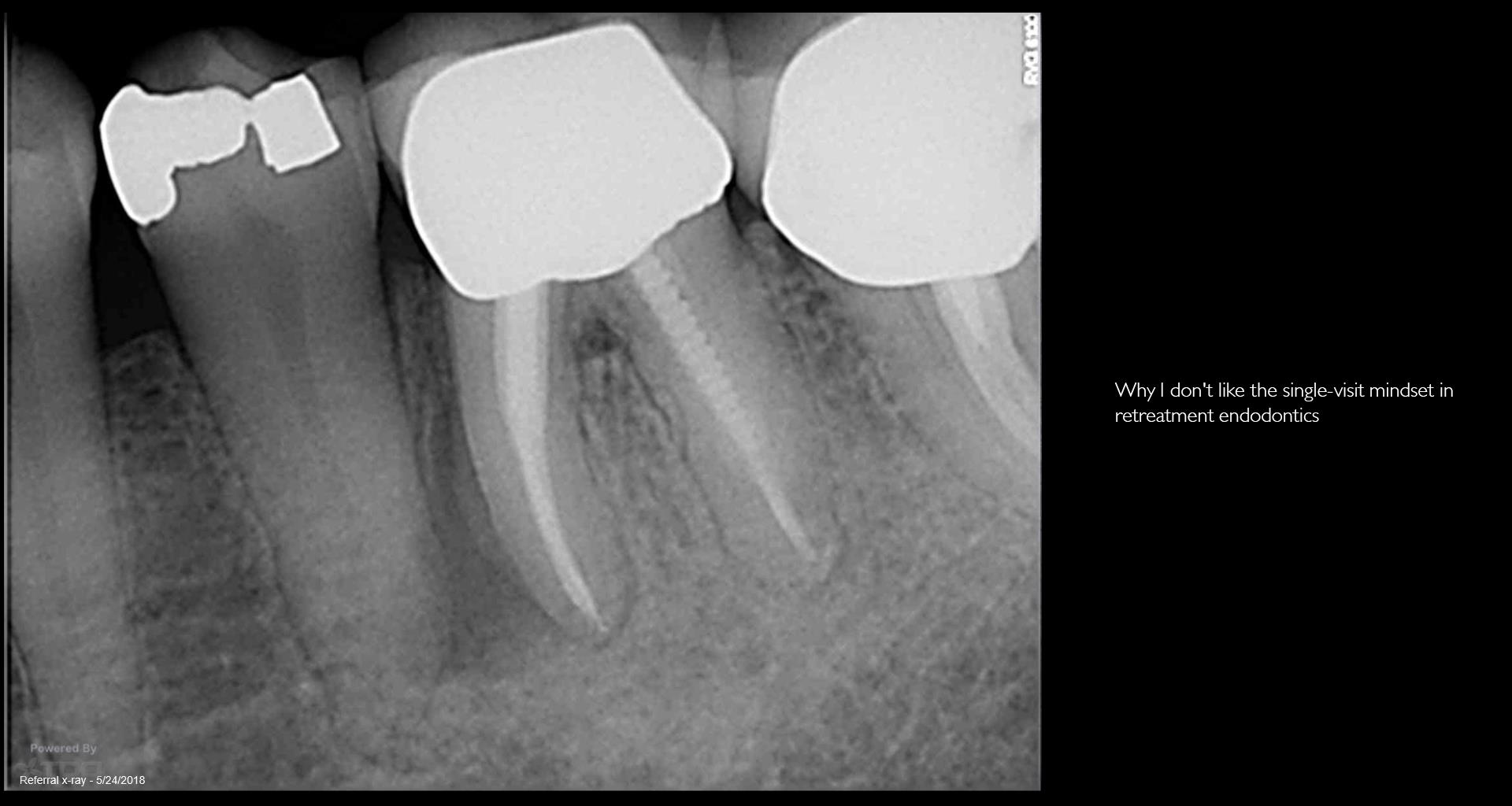
Patient in for a sinus tract check recall today asking questions…… All treatment done by endodontists. Always done in a single visit. The 2nd endodontist told the patient she was “cured”. He never checked her again. When she called and said she may have a problem… they told her it wasn’t necessary. Her GP told her to have it extracted. Is it fractured? Is it a failing RCT that can be saved? How does one tell? To me, to do a retreatment like this in a single visit….. Well…it isn’t the way I would like to be treated. Because you end up with cases like this. By the way: no symptoms. gbc







I hope this re-treatment will be successful for her. eggy car
Archentire isn’t just about architecture—it’s about storytelling through design. Each space they create speaks deeply of creativity, elegance, and vision. With tools like 3D modeling and expert animation, they transform blueprints into living, breathing structures. A perfect blend of art and engineering led by Ar. Kamaal Sinaan. Construction Companies in Pakistan