Posts

“In for another tooth”

By JK / October 16, 2018

The subtitle is: "How endodontics has been misled for decades by 3 year followups." Sent […]

GentleWave lectures @ TDO

By JK / October 9, 2018

I was a little underwhelmed with the overall quality of evidence in the GW presentations […]

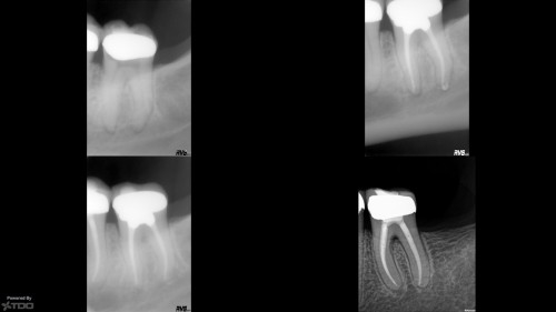
Kinda self explanatory

By JK / October 9, 2018

Done in Denver a few months ago. These are actually quite difficult…but the materials, instruments […]

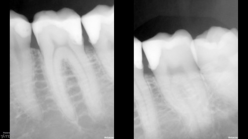
#3 Pulpitis. Er. RCT

By Reuben Joseph / September 25, 2018

#3 Er. RCT. Pulpitis probably following a recent amalgam close to the distal pulp horn. […]

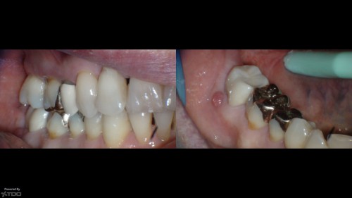
Get on the Blunderbuss

By Rajiv Patel / September 25, 2018

Patient reported with pain and swelling in association with #4, Patient was pregnant at the […]

BBB (Baffled Beyond Belief)

By JK / September 20, 2018

Hi Dale, On Thu, Sep 20, 2018 at 3:18 PM Dale Jung <dalejungendo@gmail.com> wrote: you're […]

BBB (Baffled Beyond Belief)

By JK / September 20, 2018

Hi Uzi, On Thu, Sep 20, 2018 at 3:49 PM Uziel Blumenkranz <uziel.blu12@gmail.com> wrote: And […]

BBB (Baffled Beyond Belief)

By JK / September 20, 2018

Hi Dale, On Thu, Sep 20, 2018 at 2:43 PM Dale Jung <dalejungendo@gmail.com> wrote: 🤦🏻‍♂️ […]

BBB (Baffled Beyond Belief)

By JK / September 20, 2018

73yof in today for obvious reasons. I just can't figure this out…let alone why anyone […]

First ortho extrusion courtesy of Scott Weed.

By JK / September 19, 2018

Patient presents for experimentation. 😀 Scott helped me out with this case and sent detailed instructions […]

@

Not recently active