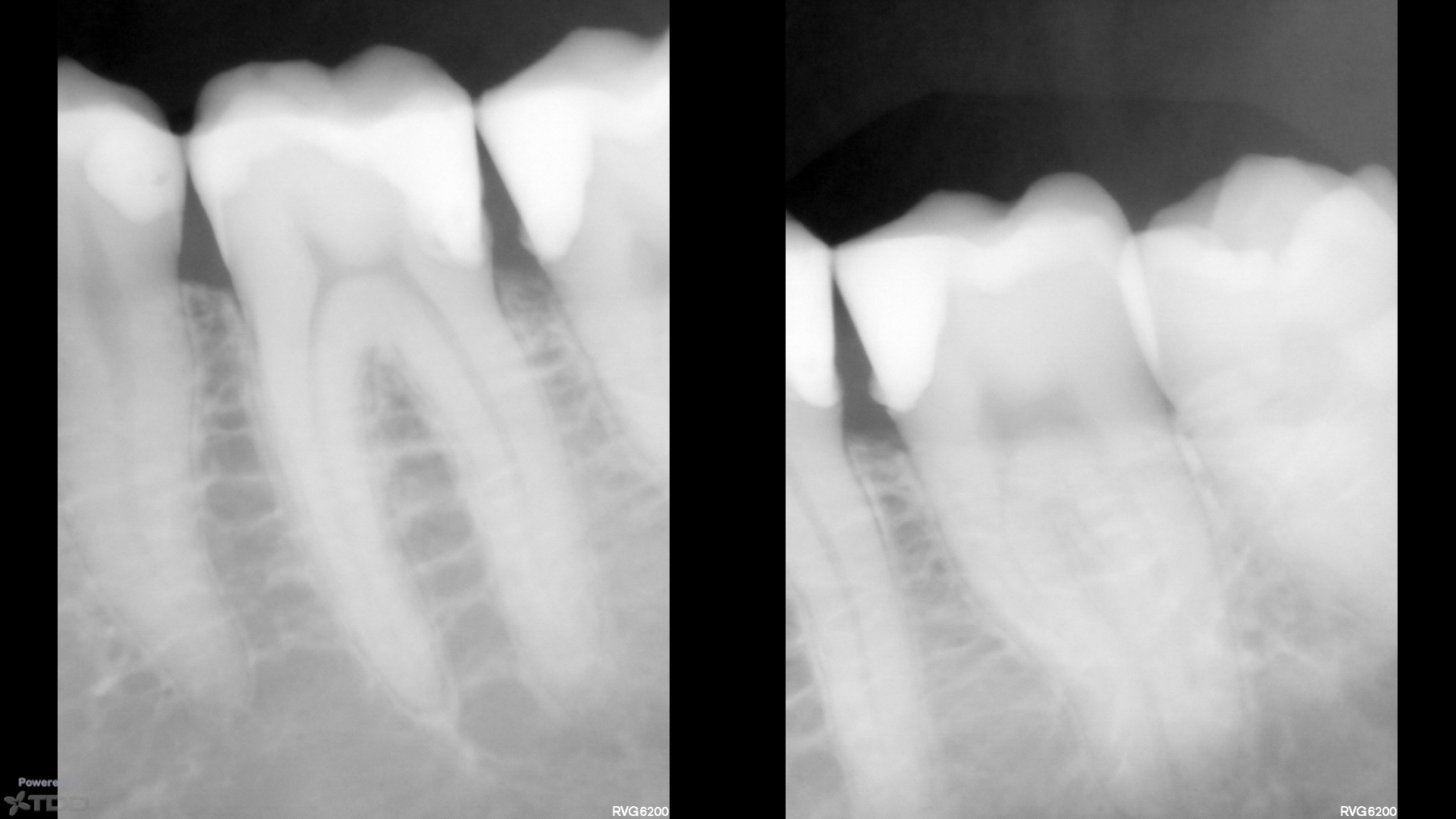
My mind reading powers are non existent but my visual ones suggest all good apart from the apparent difficulty of contouring to keep the contact shape with the matrix used in this case to prevent food packing.
Hi Richard,
Looks like you don’t need mind-reading powers as you got it. Also…looks like some surplus material too… This is a setup for a recurrence of the problem that created the problem that created this problem…
Denver work seems like a unique puzzle. Conventional methods can indeed be counterproductive. Lets break the mold and explore better ways to tackle these challenges. Professional Car Rental Company in Harvard MA
It’s fascinating how something that looks so straightforward can be incredibly complex beneath the surface. Agree—traditional methods and Monkey Mart tools often complicate what should be intuitive.
My mind reading powers are non existent but my visual ones suggest all good apart from the apparent difficulty of contouring to keep the contact shape with the matrix used in this case to prevent food packing.
Hi Richard,
Looks like you don’t need mind-reading powers as you got it. Also…looks like some surplus material too… This is a setup for a recurrence of the problem that created the problem that created this problem…
Denver work seems like a unique puzzle. Conventional methods can indeed be counterproductive. Lets break the mold and explore better ways to tackle these challenges.
Professional Car Rental Company in Harvard MA
It’s fascinating how something that looks so straightforward can be incredibly complex beneath the surface. Agree—traditional methods and Monkey Mart tools often complicate what should be intuitive.