“In for another tooth”

By JK

[post-views]
Page1-3
The subtitle is: "How endodontics has been misled for decades by 3 year followups."

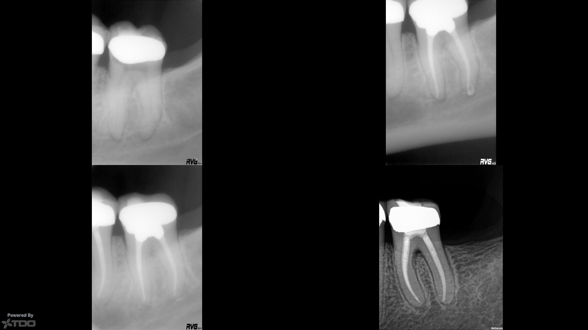
Sent for #13 by one of my best RDs that does partial coverage gold.

I hogged out #18 in 2002 (her clown RD who I fired over a decade ago started it and bashed the access for me), gutted #19 later that year (which was actually the problem tooth), mutilated #14 in 2005, failed to place post in #11 in and I didn't even get to see #15 before it was removed.
#18 is out some years ago, #15 is out for unknown reasons (it was virgin…I'm guessing it split or the clown screwed it up and buried it…which he does), #14 is broken, #19 is still hanging in there, and now #13 is dead.
She's surprisingly clean, but the mirror sticks to her cheek like nobody's business…the small amount of remaining natural tooth structure #6-#11 is melting away…

JK

0 0 vote
Article Rating
Subscribe
Notify of
0 Comments
Inline Feedbacks
View all comments

@

Not recently active