Cases

Surgery after retreatment failure

By Carlos Aznar Portoles / June 27, 2018

60 year old female. Retreatment performed about 7 years ago. The case has been asymptomatic […]

Apexogenesis + Selective Endo

By Siju Jacob / June 27, 2018

Patient was to be reviewed 2 weeks after initial treatment. Turned up after 3 years. […]

Pre-IAE completes

By Pushpak Narayana / June 27, 2018

Desi- Image guided endodontics

By Reuben Joseph / June 27, 2018

#30 – Truss Access Pre-op IOPA reveals a #30 with irreversible pulpitis involving the distal pulp […]

#15 Pulpitis – Canal Projection

By Reuben Joseph / June 26, 2018

Pre-op Assessment: Severe attrition and a constricted pulp chamber. Treatment plan: Access cavity planned taking […]

Conservative access

By Mark Dreyer / June 26, 2018

Heat treated files allow for conservative access in an area where a larger access would […]

Dual Entry Access

By Dale Jung / June 25, 2018

66 yof. SIP following crown preparation and removal of caries. The permanent crown is ready […]

Periapical Actinomycosis

By James Y. S. Ho, DMD / June 25, 2018

Sorry to repost this, but I didn’t like the first version’s resolution. After tweaking things […]

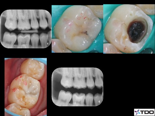
Selective Caries Removal

By Dale Jung / June 25, 2018

Selective Caries Removal (SCR) is a paradigm shift from traditional views on the treatment of […]

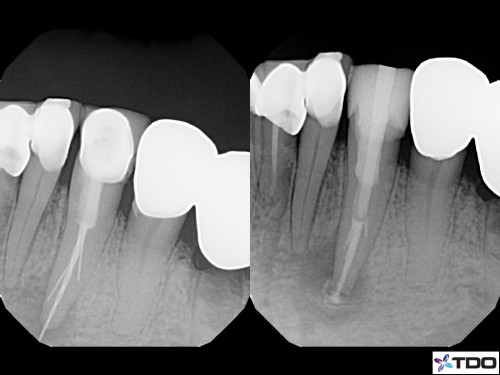
Perforation Management

By Venkat Canakapalli / June 23, 2018

The initial endodontic treatment was done a few years back and the conventional radiograph suggests […]

@

Not recently active