Truss recall

By Charles

[post-views]
Collage-232042-Page00

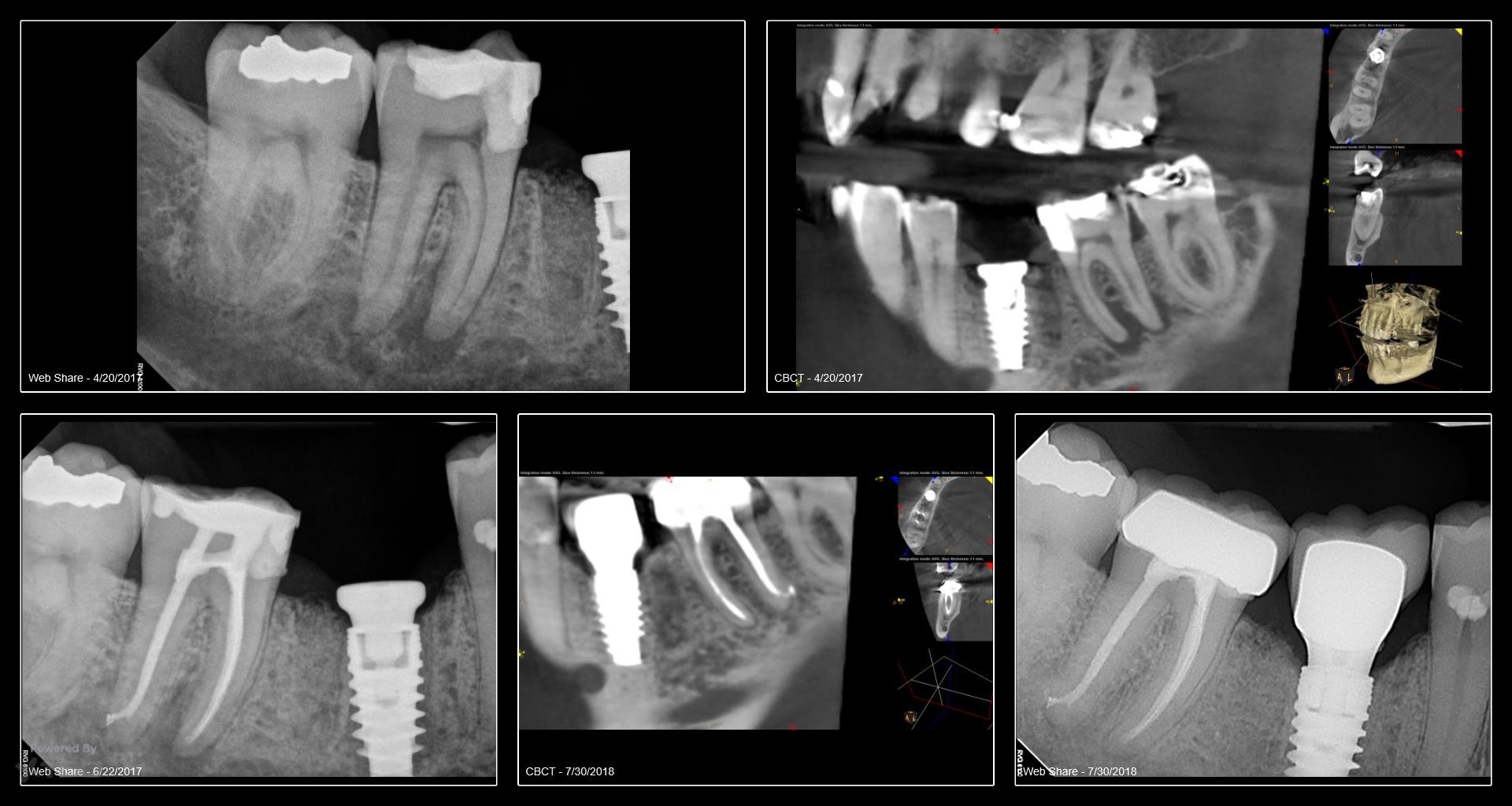
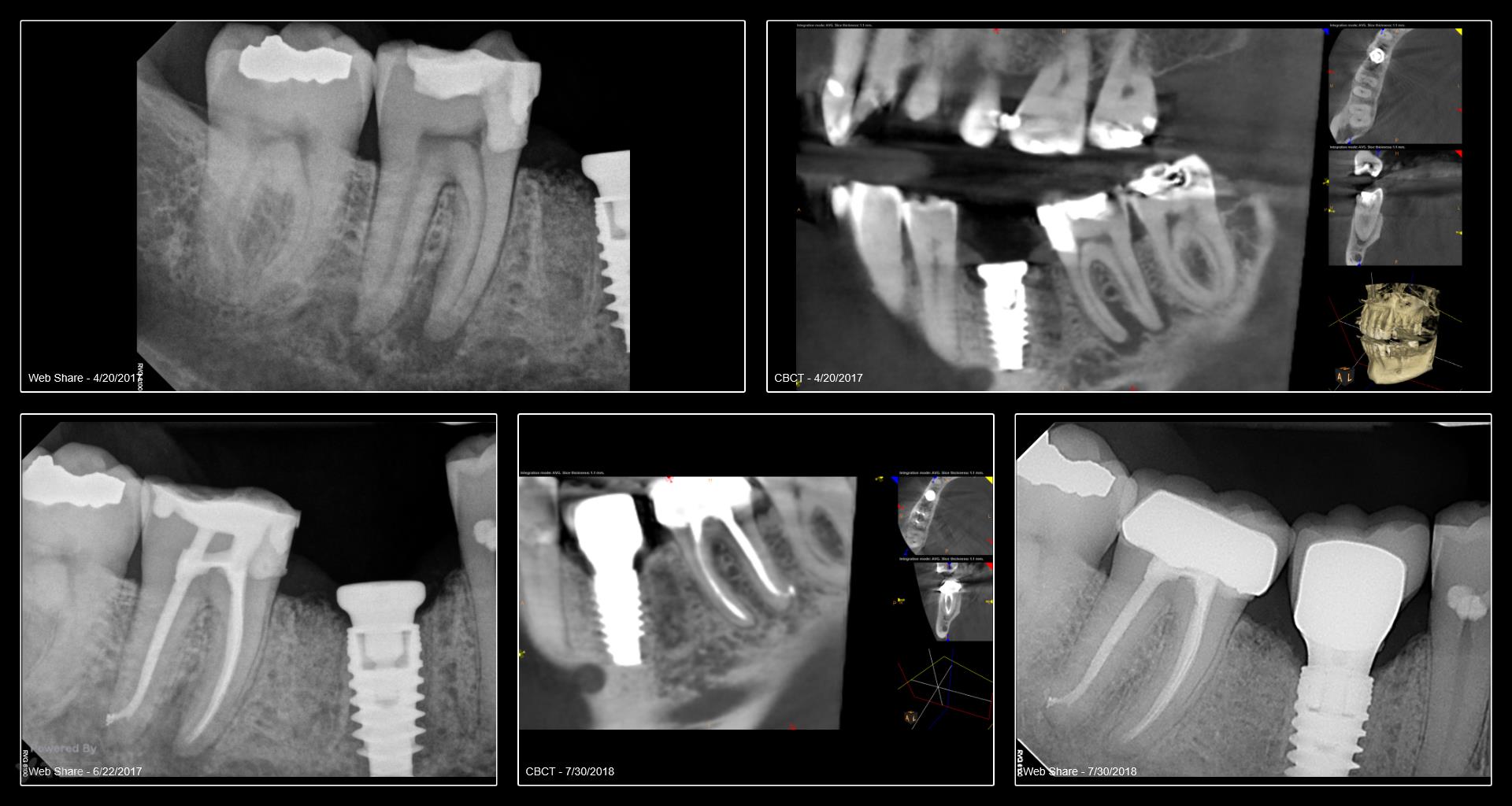
This patient was in for another tooth which I will share in a following post. One year recall for #31. -Charles

Charles

0 0 vote
Article Rating
Subscribe
Notify of
0 Comments
Inline Feedbacks
View all comments

@

Not recently active