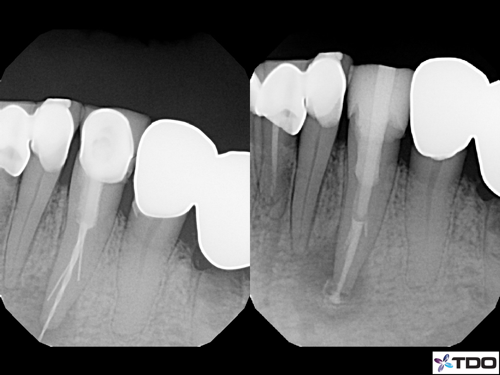
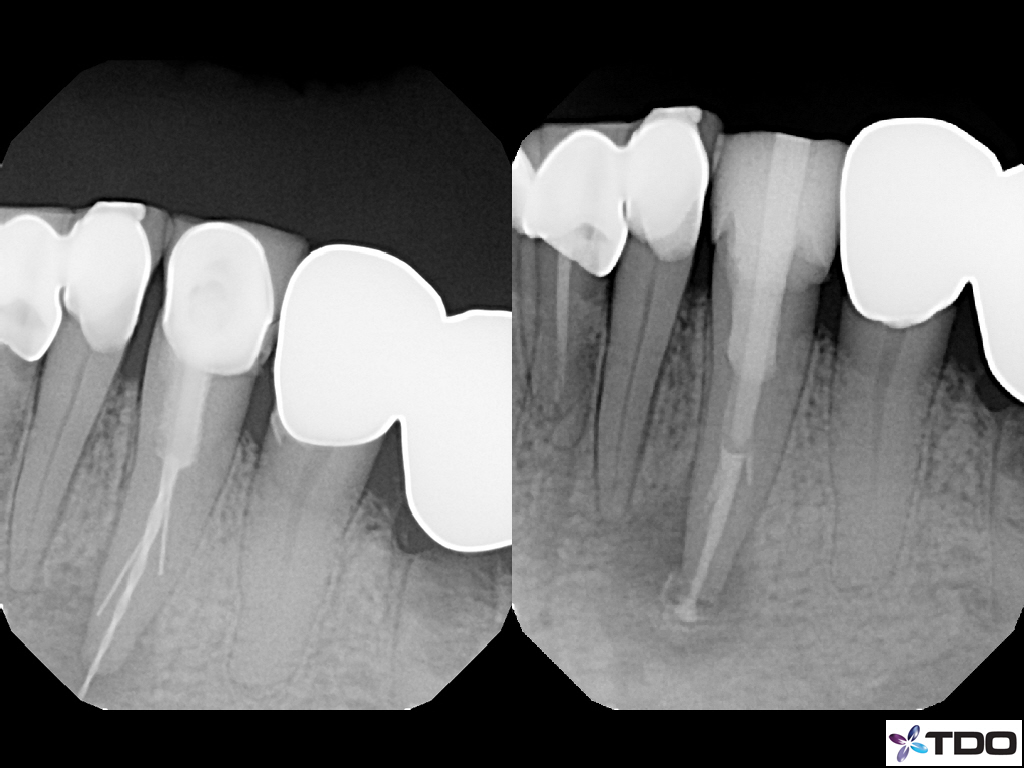
These cases show a level of commitment to conservative endodontics rarely seen in endo today. Plus the restorative excellence is inspiring and should stimulate all endodontists to up their game and help others realize how important the restorative aspect of endodontics is.
My oh my!
These cases show a level of commitment to conservative endodontics rarely seen in endo today. Plus the restorative excellence is inspiring and should stimulate all endodontists to up their game and help others realize how important the restorative aspect of endodontics is.
gbc
Beautiful work Pushpak. How many of these were X-Nav?
craig
Spectacular Awe Inspiring!