Reproducible Radiographs

Reproducible Radiographs

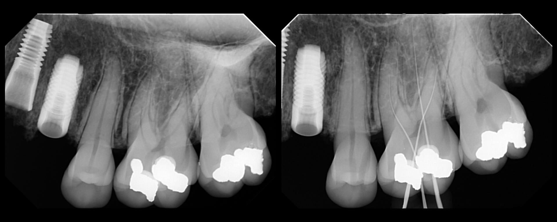
The discussion with James brought back memories of our original PERF CBCT project (that actually launched the CBCT revolution in endodontics, although no one gives us credit for that). Carlos Murgel, Peter Endo and I compared standard PA and CBCT imaging in many different ways. Standardizing the PA radiography was critical and proved to be […]