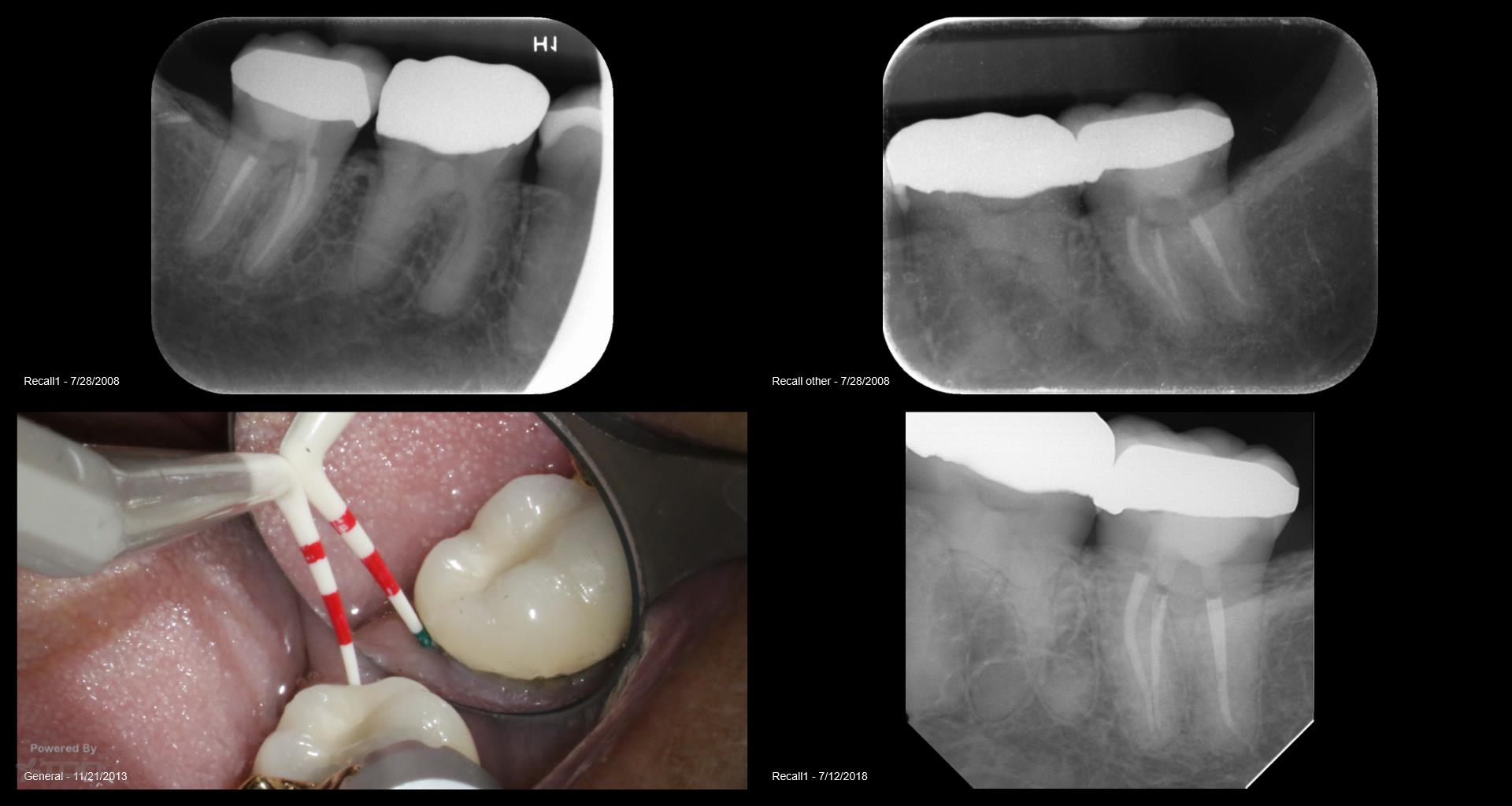
16 yr recall os a fracture

[post-views]
Collage-2140634747-Page00

Gary Carr

0 0 vote
Article Rating
Subscribe
Notify of
1 Comment
Oldest
Newest Most Voted
Inline Feedbacks
View all comments
7 years ago

Thank you Dr.Carr for posting this case .
I had a similar case yesterday, was in dilemma regarding the prognosis .

I am posting the case , kindly give your opinion.

@

Not recently active