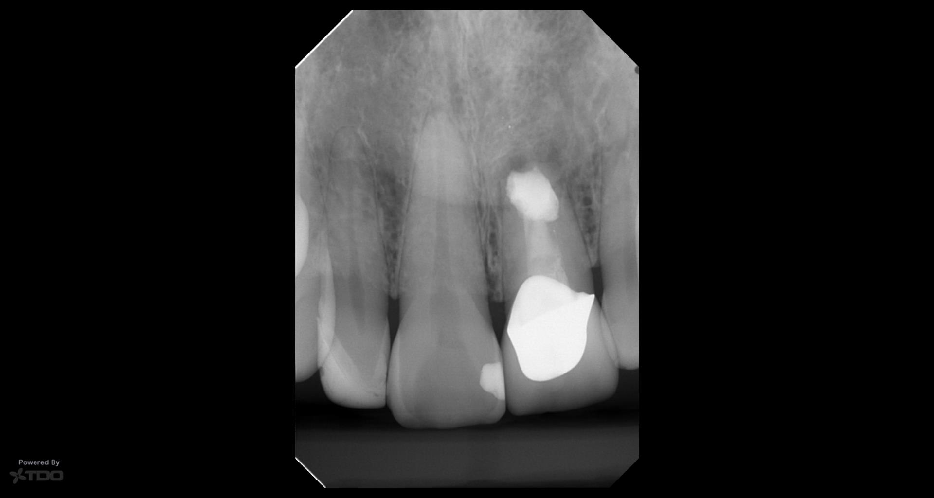
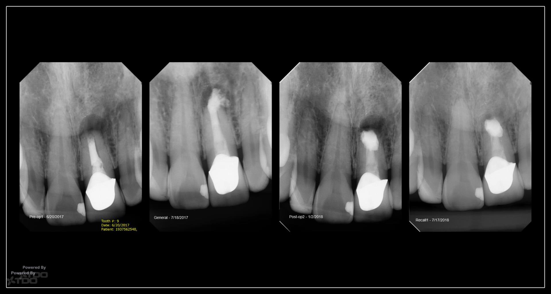
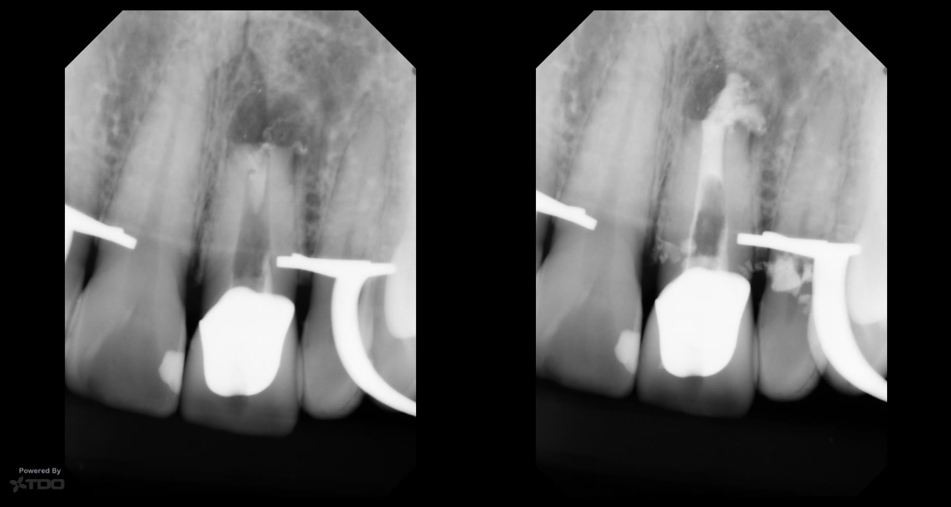
This was interesting because a root frac ture was seen where the prior apico was done. The MTAS was removed and Brassler putty used in this case. Will take a 1 yr CBCT and we will know more. Don’t usually get so much scar formation–so this was surprising…..









Practice coreball and study more to get in-depth knowledge of medicine. Each lesson is great for synthesizing information by topic.
In this rhythm-based action platformer, you will have to jump and soar your way through perilous situations. Get ready to face a challenge that is extremely difficult to overcome in the world of geometry dash.
아무래도 요즘 커뮤니티에서 많이 이야기되는 제우스하데스슬롯 • Zeus Hades 이야기를 해보고 싶어서 글 남깁니다. 저는 최근에 이 게임 정보를 먼저 접하게 되었는데, 사이트 이름은 으로 알려져 있고, 정식 출시는 아직 준비 단계라고 들었습니다. 그리고 소개 문구가 정말 인상 깊었어요 .
하늘의 신 제우스와 지하 세계의 왕 하데스가 만나는 순간. Zeus Hades의 새로운 사이트가 곧 공개됩니다. 기대해 주세요!.이 게임은 테마 및 스토리 부분에서 굉장히 집중도가 높다고 생각합니다. 제우스는 번개와 하늘을 지배하고, 하데스는 심연과 영혼의 세계를 관장하니, 두 신의 충돌 또는 동맹이라는 컨셉이 어떻게든 극적인 연출을 만들 수밖에 없죠. 슬롯에서 이런 신화 배경은 진부할 수 있지만, 제우스 vs 하데스 조합은 흔하지 않아서 더 매력적으로 느껴졌습니다.
또한 베타 크기, RTP 및 분산 요소에 대한 기대도 큽니다. 실제로 플레이어들에게 중요한 건 결국 수익 구조와 변동성인데, 아직 정확한 수치는 공개되지 않았으나 소문으로는 중간~고변동으로 설계되어 있다고 하더군요. 개인적으로는 조금 스릴 있는 변동성을 선호하는 편이라 이 부분이 긍정적으로 들렸습니다.보너스 구성 또한 많이 회자됩니다. 게임 내 와일드, 보너스, 프리 스핀 기능이 핵심이라고 하는데, 이 조합이 슬롯의 재미 포인트를 확실하게 잡아주는 요소라고 생각합니다. 특히 스토리 컨셉과 연결되면, 와일드는 제우스의 힘, 보너스는 하데스의 거래, 프리 스핀은 두 신의 충돌 순간 같은 식으로 연출될 수도 있겠죠. 그리고 이 부분은 정말 중요해서 한 번 더 언급하고 싶습니다.와일드, 보너스, 프리 스핀 구조가 어떻게 구현되느냐가 결국 재미를 결정합니다.