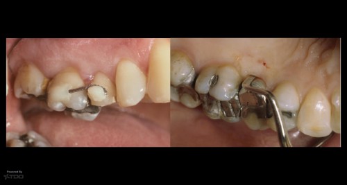
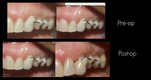
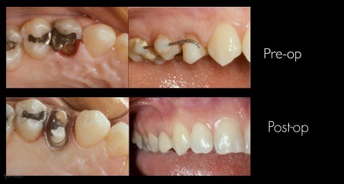
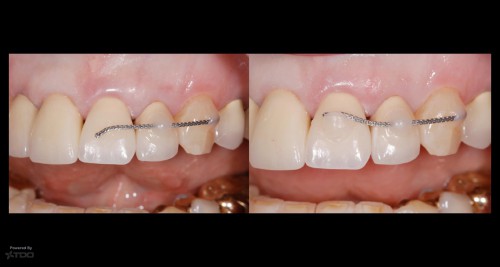
Gary your detailed explanation of Dick Tuckers method is quite enlightening. The precision in each step especially the supracrestal berotomy adds a unique touch to the dental restoration process. Looking forward to implementing this approach. Real Estate Consultant in Stuart FL
Lately, I’ve been getting more interested in different ways of enjoying online entertainment, especially those that involve crypto. Nowadays best bitcoin dice sites https://windice.io/dice and other cryptocurrencies have gained overwhelming popularity in the online casino industry. This is facilitated by many factors such as safety, anonymity, transaction speed, and others. So, there have appeared a lot of Bitcoin games — the Dice game is one of them. So, let’s take a detailed look at the Bitcoin Dice game and examine all its features .
What I personally find appealing about the Bitcoin Dice format is how straightforward it is, yet it never gets boring. You basically choose a number and bet on whether the dice roll will be higher or lower. Because of how simple it is, you can control your strategy much more easily compared to complex games. And since transactions in Bitcoin are almost instant, you don’t have to wait long for deposits or withdrawals, which makes the whole experience faster and smoother.
Another thing that really stands out is fairness. The great news for all casino players is that when playing Bitcoin dice, they can verify the fairness of results. Most Bitcoin casinos provide the Provably Fair function — this mechanism can prove that outcomes are provided by Random Number Generator. Thus, the casino can not affect the result of the round in any way, which means that you always have a good chance of winning. For people who are used to traditional online gaming, this transparency can feel like a breath of fresh air. You don’t have to simply hope everything is fair — you can actually check it yourself.
Desde hace tiempo busco plataformas que realmente respeten el tiempo del jugador, y por eso me enfoqué en casinos retiro instantaneo con tiempos reales de pago comprobados. Lo que más me convenció fue la posibilidad de retirar incluso pequeñas cantidades sin tener que esperar procesos manuales interminables. En una de mis experiencias más recientes, después de ganar en una ruleta en vivo, solicité el retiro y recibí la confirmación en cuestión de minutos. Esa rapidez me dio una sensación de transparencia que no había tenido antes. Antes de registrarme, comparé varias opciones revisando análisis en casinosretiroinstantaneo.es, donde explican qué métodos son más eficientes según el tipo de usuario. También descubrí que algunos casinos aplican límites diferentes dependiendo del sistema de pago elegido. Desde entonces, siempre selecciono opciones digitales que permitan confirmación automática. Para mí, la inmediatez no solo es comodidad, sino una señal clara de que la plataforma está bien estructurada y prioriza la experiencia del jugador.
Gary your detailed explanation of Dick Tuckers method is quite enlightening. The precision in each step especially the supracrestal berotomy adds a unique touch to the dental restoration process. Looking forward to implementing this approach.
Real Estate Consultant in Stuart FL
Lately, I’ve been getting more interested in different ways of enjoying online entertainment, especially those that involve crypto. Nowadays best bitcoin dice sites https://windice.io/dice and other cryptocurrencies have gained overwhelming popularity in the online casino industry. This is facilitated by many factors such as safety, anonymity, transaction speed, and others. So, there have appeared a lot of Bitcoin games — the Dice game is one of them. So, let’s take a detailed look at the Bitcoin Dice game and examine all its features .
What I personally find appealing about the Bitcoin Dice format is how straightforward it is, yet it never gets boring. You basically choose a number and bet on whether the dice roll will be higher or lower. Because of how simple it is, you can control your strategy much more easily compared to complex games. And since transactions in Bitcoin are almost instant, you don’t have to wait long for deposits or withdrawals, which makes the whole experience faster and smoother.
Another thing that really stands out is fairness. The great news for all casino players is that when playing Bitcoin dice, they can verify the fairness of results. Most Bitcoin casinos provide the Provably Fair function — this mechanism can prove that outcomes are provided by Random Number Generator. Thus, the casino can not affect the result of the round in any way, which means that you always have a good chance of winning. For people who are used to traditional online gaming, this transparency can feel like a breath of fresh air. You don’t have to simply hope everything is fair — you can actually check it yourself.
Desde hace tiempo busco plataformas que realmente respeten el tiempo del jugador, y por eso me enfoqué en casinos retiro instantaneo con tiempos reales de pago comprobados. Lo que más me convenció fue la posibilidad de retirar incluso pequeñas cantidades sin tener que esperar procesos manuales interminables. En una de mis experiencias más recientes, después de ganar en una ruleta en vivo, solicité el retiro y recibí la confirmación en cuestión de minutos. Esa rapidez me dio una sensación de transparencia que no había tenido antes. Antes de registrarme, comparé varias opciones revisando análisis en casinosretiroinstantaneo.es, donde explican qué métodos son más eficientes según el tipo de usuario. También descubrí que algunos casinos aplican límites diferentes dependiendo del sistema de pago elegido. Desde entonces, siempre selecciono opciones digitales que permitan confirmación automática. Para mí, la inmediatez no solo es comodidad, sino una señal clara de que la plataforma está bien estructurada y prioriza la experiencia del jugador.