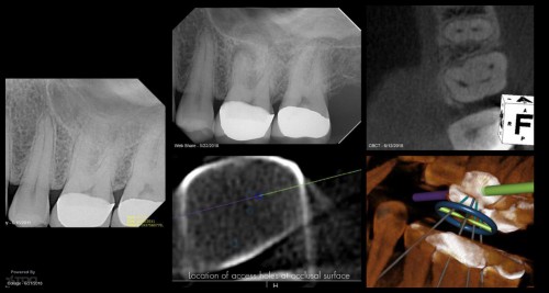
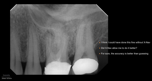
Because this was a Zirconia crown, my approach was to make a “staging platform” where I thought the access points would be. Proabbaly made the platform larger than I needed to. In this case, the X-nav was spot-on. I’m nowhere near Charles or Pushpak, but I am getting more comfortable with it. This took longer than I thought because I had to change the plan when we discoved the angles to get into the MB1 and MB2 required the handpiece to be “too vertical” and the cameras wouldn’t read them. So the angle of the dangle had to be altered during the procedure. Kind of a PIA….. gbc



